Acolia
Acolia (do grego antigo ἄχολος, a- sem, chole, bile) é um termo médico para a ausência de bile. Sua característica mais marcante é resultar em fezes brancas por falta de estercobilina. A bile impedida de sair é reabsorvida no sangue causando de pele amarelada (icterícia) e coceira. Caso não seja tratada em alguns dias, a intoxicação com a bile induz hemorragias na pele e membranas mucosas, delirium e coma.[1]

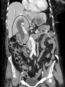
Vias biliares dilatadas por obstrução.
Bile
A bile é constituída por colesterol, bicarbonato, íons (Na+, K+, Ca++, Cl-) e derivados da bilirrubina: Bilirrubina Directa → Urobilinogênio → Urobilina → Estercobilina
Causas
Causas possíveis de acolia incluem[2]:
- Hepatite alcoólica
- Cirrose biliar
- Medicamentos
- Hepatite viral
- Obstrução das vias biliares por:
- Cálculos biliares (pedra na vesícula biliar)
- Cistos
- Tumores benignos do fígado, sistema biliar ou pâncreas
- Estenose
- Colangite esclerosante
- Problemas estruturais no sistema biliar presentes desde o nascimento (congênitos)
Referências
- The Great Soviet Encyclopedia, 3rd Edition (1970-1979). © 2010 The Gale Group, Inc. All rights reserved.
- Jenifer K. Lehrer, MD, Department of Gastroenterology, Frankford-Torresdale Hospital, Aria Health System, Philadelphia, PA. Revisto por VeriMed Healthcare Network, David Zieve, MD, MHA, Isla Ogilvie, PhD e A.D.A.M. Editorial team. http://umm.edu/health/medical/ency/articles/stools-pale-or-claycolored
This article is issued from Wikipedia. The text is licensed under Creative Commons - Attribution - Sharealike. Additional terms may apply for the media files.