Anaplasmose
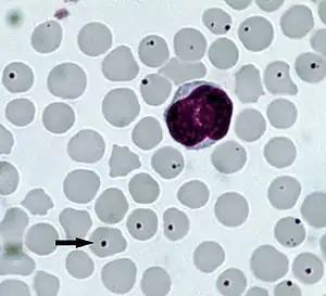
Anaplasmose ou tristeza parasitária bovina[1] é uma doença dos ruminantes, causada por uma bactéria, do gênero Anaplasma. Esse organismo contamina as hemácias e é transmitida naturalmente por espécies de carrapatos. Também pode ser transmitida iatrogenicamente por meio de cirurgias, castração, retirada de chifres e instrumentos de tatuagem e agulhas que não são desinfectadas antes do uso.
| Anaplasmose | |
|---|---|
![]() Anaplasmose | |
| Especialidade | infecciologia, medicina veterinária |
| Classificação e recursos externos | |
| MeSH | D000712 |
Embora o termo seja usado para descrever a anaplasmose bovina, ela também é descrita como uma infecção humana.[2]
Referências
- Onizuka, M.K.V. «Anaplasmose bovina: uma doença silenciosa». Ourofino Agronegócio. Consultado em 30 de janeiro de 2014. Arquivado do original em 2 de fevereiro de 2014
- «CDC - Anaplasmosis: Questions and Answers | Tickborne Rickettsial Diseases». Consultado em 18 de agosto de 2009. Cópia arquivada em 27 de agosto de 2009
This article is issued from Wikipedia. The text is licensed under Creative Commons - Attribution - Sharealike. Additional terms may apply for the media files.
