Câncer de vesícula biliar
Câncer de vesícula biliar (português brasileiro) ou cancro da vesícula biliar (português europeu) é um tipo relativamente incomum de câncer. Se é diagnosticado precocemente, pode ser curado com a remoção da vesícula biliar (colecistectomia). Geralmente é encontrado após o aparecimento de sintomas como dor abdominal e icterícia, e após ter se espalhado para outros órgãos, como o fígado.
| Câncer de vesícula biliar | |
|---|---|
![]() Câncer de vesícula biliar | |
| Especialidade | Gastroenterologia Hepatologia Oncologia |
| Sintomas | Dor abdominal, Inchaço, Febre, Perda de peso, Náusea, Icterícia, Calafrios, embora algumas pessoas possam não ter sintomas[1] |
| Início habitual | Acima de 65 anos[2] |
| Fatores de risco | Idade acima de 75 anos, pedra na vesícula, pólipos na vesícula, colecistite, inflamação crônica da vesícula biliar, diabetes, ductos biliares anormais[3] |
| Método de diagnóstico | Ultrassom abdominal, tomografia computadorizada ou ressonância magnética, exames de sangue[3] |
| Tratamento | Cirurgia, Radioterapia, Quimioterapia[3] |
| Prognóstico | Sobrevivência a 5 anos: 19% (USA) [4] |
| Frequência | 3.700[5] |
| Mortes | 2.000[5] |
| Classificação e recursos externos | |
| CID-10 | C23-C24 |
| CID-9 | 156 |
| CID-11 | 922082116 |
| DiseasesDB | 30714 |
| MeSH | D005706 |
Fatores de risco
- Sexo e idade: As mulheres são mais afetadas que os homens, geralmente entre as idades de 50 e 60 anos.
- A obesidade aumenta o risco para o câncer de vesícula biliar.
- O carcinoma primária está relacionado à colecistite e colelitíase.
- O álcool é um fator de risco".[6][7]
Tratamento
Se descoberto precocemente, o câncer é tratado cirurgicamente, com a remoção da vesícula biliar (colecistectomia) e dissecção dos linfonodos. Além da cirurgia pode ser utilizado quimioterapia e radioterapia.
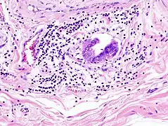
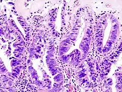
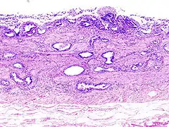
Galeria
Invasão linfática de adenocarcinoma na vesícula biliar capturada numa histopatologia
Histopatologia de um adenocarcinoma da vesícula
Câncer biliar descoberto após uma colecistectomia
Referências
- «Gallbladder cancer - Symptoms and causes». Mayo Clinic
- «Risk Factors for Gallbladder Cancer». www.cancer.org
- «Câncer de vesícula biliar: o que é, sintomas, causas e tratamento». Tua Saúde
- «Gallbladder Cancer - Statistics». 25 de junho de 2012
- Henley, S. Jane; Weir, Hannah K.; Jim, Melissa A.; Watson, Meg; Richardson, Lisa C. (2015). «Gallbladder Cancer Incidence and Mortality, United States 1999–2011». Cancer Epidemiology, Biomarkers & Prevention. pp. 1319–1326. PMID 26070529. doi:10.1158/1055-9965.EPI-15-0199
- Ji, J; Hemminki K (2005). «Variation in the risk for liver and gallbladder cancers in socioeconomic and occupational groups in Sweden with etiological implications». Int Arch Occup Environ Health. 78 (8): 641-9. PMID 16001211. Consultado em 28 de maio de 2007
- Ji J, Couto E, Hemminki K. Incidence differences for gallbladder cancer between occupational groups suggest an etiological role for alcohol Int J Cancer 2005 Sep 1;116(3):492-3.
This article is issued from Wikipedia. The text is licensed under Creative Commons - Attribution - Sharealike. Additional terms may apply for the media files.
