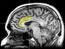
Córtex cingulado anterior
No cérebro humano, o córtex cingulado anterior (CCA) é a parte frontal do córtex cingulado que se assemelha a um "colar" ao redor da parte frontal do corpo caloso. É composto pelas áreas 24, 32 e 33 de Brodmann.
Ele parece desempenhar um papel em uma grande variedade de autonômicas funções, tais como a regulação da pressão arterial e freqüência cardíaca.
Também está envolvido em certas funções de nível superior, como alocação de atenção,[1] antecipação de recompensas, tomada de decisão,[2] ética e moralidade,[3] controle de impulso (por exemplo, monitoramento de desempenho e detecção de erros),[4] e emoção.[5][6]

Anatomia

O córtex cingulado anterior pode ser dividido anatomicamente com base nos componentes cognitivo (dorsal) e emocional (ventral).[7] A parte dorsal do ACC é conectada ao córtex pré-frontal e córtex parietal, bem como ao sistema motor e aos campos oculares frontais,[8] tornando-o uma estação central para processar estímulos de cima para baixo e de baixo para cima e atribuir controle apropriado para outras áreas do cérebro. Por outro lado, a parte ventral do ACC está conectada à amígdala, núcleo accumbens, hipotálamo, hipocampo e ínsula anterior, e está envolvida na avaliação da importância da emoção e das informações motivacionais. O ACC parece estar especialmente envolvido quando são necessários esforços para realizar uma tarefa, como na aprendizagem precoce e na solução de problemas.[9]
No nível celular, o ACC é único em sua abundância de neurônios especializados chamados células fusiformes[10] ou neurônios von Economo. Essas células são uma ocorrência relativamente recente em termos evolutivos (encontradas apenas em humanos e outros primatas, cetáceos e elefantes) e contribuem para a ênfase dessa região cerebral no tratamento de problemas difíceis, bem como das patologias relacionadas ao ACC.[9]
Tarefas
Uma tarefa típica que ativa o ACC envolve provocar alguma forma de conflito dentro do participante que pode resultar potencialmente em um erro. Uma dessas tarefas é chamada de tarefa de flanqueador Eriksen e consiste em uma seta apontando para a esquerda ou direita, flanqueada por duas setas de distração, criando testes compatíveis (<<<<<) ou incompatíveis (>> <>>).[11] Outro estímulo indutor de conflito muito comum que ativa o ACC é a tarefa Stroop, que envolve nomear a tinta colorida de palavras que são congruentes (RED escrito em vermelho) ou incongruentes (RED escrito em azul).[12] O conflito ocorre porque as habilidades de leitura das pessoas interferem na tentativa de nomear corretamente a cor da tinta da palavra. Uma variação dessa tarefa é o Counting-Stroop, durante o qual as pessoas contam estímulos neutros ('cachorro' apresentado quatro vezes) ou interferentes ('três' apresentados quatro vezes) pressionando um botão. Outra versão da tarefa Stroop, denominada Emocional Counting Stroop, é idêntica ao teste Counting Stroop, exceto que ele também usa palavras emocionais segmentadas ou repetidas como "assassinato" durante a parte de interferência da tarefa.
Funções
Muitos estudos atribuem funções específicas, tais como detecção de erros, antecipação de tarefas, atenção,[12][13] motivação, e modulação de respostas emocionais à ACC.[7][8][14]
Detecção de erros e monitoramento de conflitos
A forma mais básica da teoria do ACC afirma que o ACC está envolvido na detecção de erros.[7] As evidências foram derivadas de estudos envolvendo uma tarefa Stroop.[8] No entanto, o ACC também está ativo durante a resposta correta, e isso foi demonstrado usando uma tarefa de letra, na qual os participantes tiveram que responder à letra X após a apresentação de um A e ignorar todas as outras combinações de letras com algumas letras mais competitivas que outras.[15] Eles descobriram que, para estímulos mais competitivos, a ativação do ACC era maior.
Uma teoria semelhante propõe que a função principal do ACC é o monitoramento de conflitos. Na tarefa de flanqueador de Eriksen, os ensaios incompatíveis produzem o maior número de conflitos e a maior ativação pelo ACC. Após a detecção de um conflito, o ACC fornece pistas para outras áreas do cérebro para lidar com os sistemas de controle conflitantes.
Evidências de estudos elétricos
A evidência para o ACC como tendo uma função de detecção de erro vem de observações de negatividade relacionada a erro (ERN) geradas exclusivamente no ACC após ocorrências de erro.[7][16][17][18] Foi feita uma distinção entre um ERP após respostas incorretas (resposta ERN) e um sinal após os indivíduos receberem feedback após respostas erradas (feedback ERN).
Ninguém demonstrou claramente que o ERN vem do ACC[carece de fontes], mas pacientes com dano lateral no PFC mostram ERNs reduzidos.[19]
A teoria de ERN de aprendizado por reforço postula que há uma incompatibilidade entre a execução real da resposta e a execução apropriada da resposta, o que resulta em uma descarga do ERN.[7][17] Além disso, essa teoria prevê que, quando o ACC recebe informações conflitantes das áreas de controle no cérebro, determina e aloca qual área deve receber controle sobre o sistema motor. Acredita-se que níveis variados de dopamina influenciem a otimização deste sistema de filtros, fornecendo expectativas sobre os resultados de um evento. O ERN, então, serve como um farol para destacar a violação de uma expectativa.[18] Pesquisas sobre a ocorrência do feedback ERN mostram evidências de que esse potencial possui amplitudes maiores quando as violações de expectativa são grandes. Em outras palavras, se um evento provavelmente não ocorrer, o ERN de feedback será maior se nenhum erro for detectado. Outros estudos examinaram se o ERN é obtido variando o custo de um erro e a avaliação de uma resposta.[17]
Nestes ensaios, é dado feedback sobre se o participante ganhou ou perdeu dinheiro após uma resposta. Amplitudes de respostas ERN com pequenos ganhos e pequenas perdas foram semelhantes. Nenhum ERN foi obtido por perdas, em oposição a um ERN por nenhuma vitória, mesmo que os dois resultados sejam os mesmos. A descoberta nesse paradigma sugere que o monitoramento de vitórias e perdas se baseia nos ganhos e perdas relativos esperados. Se você obtiver um resultado diferente do esperado, o ERN será maior do que o esperado. Os estudos da ERN também localizaram funções específicas do ACC.[18]
O ACC rostral parece estar ativo após uma comissão de erro, indicando uma função de resposta a erro, enquanto o ACC dorsal está ativo após um erro e feedback, sugerindo uma função mais avaliadora (para evidências de ressonância magnética, veja também[20][21][22]). Essa avaliação é de natureza emocional e destaca a quantidade de sofrimento associada a um determinado erro.[7] Resumindo as evidências encontradas pelos estudos da ERN, parece que o ACC recebe informações sobre um estímulo, seleciona uma resposta apropriada, monitora a ação e adapta o comportamento se houver uma violação da expectativa.[18]
Evidências contra a teoria de detecção de erros e monitoramento de conflitos
Estudos que examinam o desempenho de tarefas relacionadas a processos de erro e conflito em pacientes com dano do ACC põem em dúvida a necessidade dessa região para essas funções. As teorias de detecção de erros e monitoramento de conflitos não podem explicar algumas evidências obtidas por estudos elétricos[14][17][18] que demonstram os efeitos de dar feedback após as respostas, porque a teoria descreve o ACC como monitorando estritamente o conflito, não como possuindo propriedades avaliativas.
Foi afirmado que "As consequências cognitivas das lesões cinguladas anteriores permanecem bastante ambíguas, com vários relatos de casos de função neuropsicológica e executiva geral intacta na presença de grandes lesões cinguladas dorsais anteriores.[23] Para uma visão alternativa do cingulado anterior, consulte a revisão de Rushworth (2007).[24]
Avaliação social
A atividade no córtex cingulado anterior dorsal (dACC) tem sido implicada no processamento de detecção e avaliação de processos sociais, incluindo exclusão social. Quando expostas a tarefas avaliativas sociais pessoais repetidas, mulheres não deprimidas mostraram ativação reduzida de fMRI BOLD no dACC na segunda exposição, enquanto mulheres com histórico de depressão exibiram ativação aumentada de BOLD. Essa atividade diferencial pode refletir maior reflexão sobre a avaliação social ou maior excitação associada à repetida avaliação social.[25]
Teoria da aprendizagem baseada em recompensa
Uma teoria mais abrangente e recente descreve o ACC como um componente mais ativo e propõe que ele detecta e monitora erros, avalia o grau do erro e sugere uma forma apropriada de ação a ser implementada pelo sistema motor. Evidências anteriores de estudos elétricos indicam que o ACC possui um componente avaliativo, o que é de fato confirmado por estudos de ressonância magnética. As áreas dorsal e rostral do ACC parecem ser afetadas por recompensas e perdas associadas a erros. Durante um estudo, os participantes receberam recompensas e perdas monetárias por respostas corretas e incorretas, respectivamente.[20]
A maior ativação no dACC foi demonstrada durante os testes de perda. Esse estímulo não provocou erros e, portanto, as teorias de detecção e monitoramento de erros não podem explicar completamente por que essa ativação do ACC ocorreria. A parte dorsal do ACC parece desempenhar um papel fundamental na tomada de decisões e aprendizado com base em recompensa. Acredita-se que a parte rostral do ACC esteja envolvida mais com respostas afetivas a erros. Em uma interessante expansão do experimento descrito anteriormente, foram examinados os efeitos de recompensas e custos na ativação do ACC durante a comissão de erros.[22] Os participantes executaram uma versão da tarefa do flanker Eriksen usando um conjunto de letras atribuídas a cada botão de resposta em vez de setas.
As metas eram ladeadas por um conjunto de cartas congruente ou incongruente. Usando uma imagem de um polegar (para cima, para baixo ou neutro), os participantes receberam feedback sobre quanto dinheiro eles ganharam ou perderam. Os pesquisadores descobriram uma maior ativação do ACC rostral quando os participantes perderam dinheiro durante os testes. Os participantes relataram estar frustrados ao cometer erros. Como o ACC está intrinsecamente envolvido com a detecção de erros e respostas afetivas, pode muito bem ser que essa área forme as bases da autoconfiança. Tomados em conjunto, esses achados indicam que as áreas dorsal e rostral estão envolvidas na avaliação da extensão do erro e na otimização das respostas subsequentes. Um estudo que confirmou essa noção explorou as funções das áreas dorsal e rostral do ACC envolvidas, usando uma tarefa de sacada.[21]
Foi mostrado aos participantes uma sugestão que indicava se eles tinham que fazer um pró-sacada ou um anti-sacada. Um anti-sacada exige a supressão de um sinal de distração, porque o alvo aparece no local oposto, causando o conflito. Os resultados mostraram uma ativação diferente para as áreas ACC rostral e dorsal. O correto desempenho anti-sacada precoce foi associado à ativação rostral. A área dorsal, por outro lado, foi ativada quando erros foram cometidos, mas também para respostas corretas.
Sempre que a área dorsal estava ativa, menos erros eram cometidos, fornecendo mais evidências de que o ACC está envolvido com desempenho de esforço. A segunda descoberta mostrou que, durante tentativas de erro, o ACC foi ativado mais tarde do que para respostas corretas, indicando claramente um tipo de função avaliativa.
Papel na consciência
A área do ACC no cérebro está associada a muitas funções correlacionadas com a experiência consciente. Níveis mais altos de ativação do ACC estavam presentes em participantes do sexo feminino com consciência emocional quando mostrados breves clipes 'emocionais'.[26] Uma melhor consciência emocional está associada a um melhor reconhecimento de pistas ou alvos emocionais, o que é refletido pela ativação do ACC.
A ideia de que a conscientização está associada ao ACC é apoiada por algumas evidências, pois parece ser que, quando as respostas dos sujeitos não são congruentes com as respostas reais, é produzida uma maior negatividade relacionada ao erro.[18]
Um estudo encontrou um ERN mesmo quando os indivíduos não estavam cientes de seu erro.[18] A conscientização pode não ser necessária para obter um ERN, mas pode influenciar o efeito da amplitude do ERN de feedback. Em relação à teoria da aprendizagem baseada em recompensa, a conscientização pode modular as violações das expectativas. O aumento da conscientização pode resultar em menores violações das expectativas e a menor conscientização pode atingir o efeito oposto. Mais pesquisas são necessárias para entender completamente os efeitos da conscientização na ativação do ACC.
Na hipótese surpreendente, Francis Crick identifica o cingulado anterior, para ser específico o sulco cingulado anterior, como um provável candidato ao centro do livre-arbítrio em humanos. Crick baseia essa sugestão em exames de pacientes com lesões específicas que parecem interferir em seu senso de vontade independente, como a síndrome da mão alienígena.
Papel no registro da dor
O ACC registra dor física, como mostrado em estudos funcionais de RM que mostraram um aumento na intensidade do sinal, geralmente na parte posterior da área 24 do ACC, que foi correlacionada com a intensidade da dor. Quando essa ativação relacionada à dor foi acompanhada por tarefas cognitivas que demandavam atenção (fluência verbal), as tarefas que demandavam atenção aumentavam a intensidade do sinal em uma região do ACC anterior e/ou superior à região de ativação relacionada à dor.[27] O ACC é a área cortical que tem sido mais frequentemente associada à experiência da dor.[28] Parece estar envolvido na reação emocional à dor, e não na percepção da própria dor.[29]
Evidências de estudos em neurociência social sugeriram que, além de seu papel na dor física, o ACC também pode estar envolvido no monitoramento de situações sociais dolorosas, como exclusão ou rejeição. Quando os participantes se sentiram socialmente excluídos em um jogo de arremesso de bola virtual por ressonância magnética no qual a bola nunca foi lançada para o participante, o ACC mostrou ativação. Além disso, essa ativação foi correlacionada com uma medida autorreferida de sofrimento social, indicando que o ACC pode estar envolvido na detecção e monitoramento de situações sociais que podem causar dor social / emocional, em vez de apenas dor física.[30]
Patologia
O estudo dos efeitos dos danos ao ACC fornece informações sobre o tipo de funções que ele serve no cérebro intacto. O comportamento associado às lesões no ACC inclui: incapacidade de detectar erros, dificuldade grave na resolução de conflitos de estímulos em uma tarefa Stroop, instabilidade emocional, desatenção e mutismo acinético.[31][7][8] Há evidências de que danos ao ACC estão presentes em pacientes com esquizofrenia, onde estudos mostraram que os pacientes têm dificuldade em lidar com locais espaciais conflitantes em uma tarefa semelhante a Stroop e com ERNs anormais.[8][17] Os participantes com TDAH apresentaram redução da ativação na área dorsal do ACC ao executar a tarefa Stroop.[32] Juntos, esses achados corroboram os resultados de estudos de imagem e elétricos sobre a variedade de funções atribuídas ao ACC.
Há evidências de que essa área pode ter um papel no transtorno obsessivo-compulsivo devido ao fato de que o que parece ser um nível não natural de atividade de glutamato nessa região foi observado em pacientes com o distúrbio,[33] em contraste com muitos outras regiões do cérebro que se acredita terem atividade excessiva de glutamato no TOC. Meta-análises SDM recentes de estudos morfométricos baseados em voxel comparando pessoas com TOC e controles saudáveis descobriram que pessoas com TOC aumentaram o volume de massa cinzenta nos núcleos lenticulares bilaterais, estendendo-se aos núcleos caudados, enquanto diminuíram os volumes de substância cinzenta no frontal medial bilateral /córtex cingulado anterior.[34][35] Esses achados contrastam com aqueles em pessoas com outros transtornos de ansiedade, que evidenciam volumes diminuídos (em vez de aumentados) de massa cinzenta nos núcleos lenticulares / caudados bilaterais, enquanto também diminuem os volumes de substância cinzenta nos giros cingulados frontal / medial medial dorsal bilateral.[35]
Foi sugerido que o ACC tenha possíveis vínculos com a ansiedade social, junto com a parte da amígdala do cérebro, mas essa pesquisa ainda está em seus estágios iniciais.[36] Um estudo mais recente, do Wake Forest Baptist Medical Center, confirma a relação entre o ACC e a regulação da ansiedade, revelando a prática da atenção plena como mediadora da ansiedade precisamente através do ACC.[37]
O giro cingulado subcaloso adjacente tem sido implicado na depressão maior e pesquisas indicam que a estimulação cerebral profunda da região poderia atuar para aliviar os sintomas depressivos.[38] Embora as pessoas que sofrem de depressão tenham menores ACCs subgenuais,[39] seus ACCs foram mais ativos quando ajustados pelo tamanho. Isso se correlaciona bem com o aumento da atividade subgenual do ACC durante a tristeza em pessoas saudáveis[40] e a normalização da atividade após o sucesso do tratamento.[41] De notar, a atividade do córtex cingulado subgenual se correlaciona com diferenças individuais no efeito negativo durante o estado de repouso da linha de base; em outras palavras, quanto maior a atividade subgenual, maior a afetividade negativa no temperamento.[42]
Um estudo de ressonâncias magnéticas cerebrais realizadas em adultos que haviam participado anteriormente do Cincinnati Lead Study descobriu que pessoas que sofreram níveis mais altos de exposição ao chumbo quando crianças tinham diminuído o tamanho do cérebro quando adultos. Esse efeito foi mais pronunciado no ACC (Cecil et al., 2008)[43] e acredita-se que esteja relacionado aos déficits cognitivos e comportamentais dos indivíduos afetados.
Prejuízos no desenvolvimento do cíngulo anterior, juntamente com comprometimentos no córtex dorsal medial-frontal, podem constituir um substrato neural para déficits sócio-cognitivos no autismo, como orientação social e atenção articular.[44]
Imagens adicionais
Superfície medial do córtex cerebral humano - gyri
Córtex cingulado anterior de macaco ( Macaca mulatta ).
Ver também
Referências
- «The anterior cingulate cortex mediates processing selection in the Stroop attentional conflict paradigm». Proceedings of the National Academy of Sciences of the United States of America. 87. PMC 53241
. PMID 2296583. doi:10.1073/pnas.87.1.256 - «Dorsal anterior cingulate cortex: a role in reward-based decision making». Proceedings of the National Academy of Sciences of the United States of America. 99. PMC 117593
. PMID 11756669. doi:10.1073/pnas.012470999 - «Salience network engagement with the detection of morally laden information». Social Cognitive and Affective Neuroscience. 12. PMC 5490682
. PMID 28338944. doi:10.1093/scan/nsx035 - «Predicting repeat offenders with brain scans: You be the judge»
- «The functional architecture of human empathy». Behavioral and Cognitive Neuroscience Reviews. 3. PMID 15537986. doi:10.1177/1534582304267187
- «Empathy examined through the neural mechanisms involved in imagining how I feel versus how you feel pain» (PDF). Neuropsychologia. 44. PMID 16140345. doi:10.1016/j.neuropsychologia.2005.07.015
- «Cognitive and emotional influences in anterior cingulate cortex». Trends in Cognitive Sciences. 4. PMID 10827444. doi:10.1016/S1364-6613(00)01483-2
- Parasuraman R (ed.). «Executive attention: Conflict, target detection, and cognitive control». The attentive brain. [S.l.: s.n.] ISBN 0-262-16172-9
- «The anterior cingulate cortex. The evolution of an interface between emotion and cognition». Annals of the New York Academy of Sciences. 935. PMID 11411161. doi:10.1111/j.1749-6632.2001.tb03476.x
- Carter, Rita. The Human Brain Book. [S.l.: s.n.]
- «Conflict monitoring versus selection-for-action in anterior cingulate cortex». Nature. 402. PMID 10647008. doi:10.1038/46035
- «The anterior cingulate cortex mediates processing selection in the Stroop attentional conflict paradigm». Proceedings of the National Academy of Sciences of the United States of America. 87. PMC 53241
. PMID 2296583. doi:10.1073/pnas.87.1.256 - «Dorsal anterior cingulate cortex resolves conflict from distracting stimuli by boosting attention toward relevant events». Cerebral Cortex. 15. PMID 15238434. doi:10.1093/cercor/bhh125
- «Error-related brain potentials are differentially related to awareness of response errors: evidence from an antisaccade task». Psychophysiology. 38. PMID 11577898. doi:10.1111/1469-8986.3850752
- «Anterior cingulate cortex, error detection, and the online monitoring of performance». Science. 280. PMID 9563953. doi:10.1126/science.280.5364.747
- «A neural system for error-detection and compensation». Psychological Science. 4. doi:10.1111/j.1467-9280.1993.tb00586.x
- Posner MI (ed.). «Anterior cingulate cortex, selection for action, and error processing». Cognitive neuroscience of attention. [S.l.: s.n.] ISBN 1-59385-048-4
- Posner MI (ed.). «The anterior cingulate cortex: Regulating actions in context». Cognitive neuroscience of attention. [S.l.: s.n.] ISBN 1-59385-048-4
- «Prefrontal-cingulate interactions in action monitoring». Nature Neuroscience. 3. PMID 10769394. doi:10.1038/74899
- «Dorsal anterior cingulate cortex: a role in reward-based decision making». Proceedings of the National Academy of Sciences of the United States of America. 99. PMC 117593
. PMID 11756669. doi:10.1073/pnas.012470999 - «Rostral and dorsal anterior cingulate cortex make dissociable contributions during antisaccade error commission». Proceedings of the National Academy of Sciences of the United States of America. 102. PMC 1255733
. PMID 16227444. doi:10.1073/pnas.0503657102 - «Medial frontal cortex activity and loss-related responses to errors». The Journal of Neuroscience. 26. PMID 16611823. doi:10.1523/JNEUROSCI.4709-05.2006
- «Neural mechanisms of autonomic, affective, and cognitive integration». The Journal of Comparative Neurology. 493. PMID 16254997. doi:10.1002/cne.20749See Review by Critchely related to this
- «Contrasting roles for cingulate and orbitofrontal cortex in decisions and social behaviour». Trends in Cognitive Sciences. 11. PMID 17337237. doi:10.1016/j.tics.2007.01.004
- «Dorsal Anterior Cingulate Cortex Responses to Repeated Social Evaluative Feedback in Young Women with and without a History of Depression». Frontiers in Behavioral Neuroscience. 10. PMC 4815251
. PMID 27065828. doi:10.3389/fnbeh.2016.00064 - «Neural correlates of levels of emotional awareness. Evidence of an interaction between emotion and attention in the anterior cingulate cortex». Journal of Cognitive Neuroscience. 10. PMID 9712681. doi:10.1162/089892998562924
- Davis, Karen D., Stephen J. Taylor, Adrian P. Crawley, Michael L. Wood, and David J. Mikulis. "Functional MRI of pain- and attention-related activations in the human cingulate cortex", J. Neurophysiol. volume 77: pages 3370–3380, 1997
- Pinel JP. Biopsychology. [S.l.: s.n.] ISBN 978-0-205-83256-9
- «Psychological and neural mechanisms of the affective dimension of pain». Science. 288. PMID 10846154. doi:10.1126/science.288.5472.1769
- «Does rejection hurt? An FMRI study of social exclusion». Science. 302. PMID 14551436. doi:10.1126/science.1089134
- «Deficits in selective attention following bilateral anterior cingulotomy». Journal of Cognitive Neuroscience. 3. PMID 23964838. doi:10.1162/jocn.1991.3.3.231
- «Anterior cingulate cortex dysfunction in attention-deficit/hyperactivity disorder revealed by fMRI and the Counting Stroop». Biological Psychiatry. 45. PMID 10376114. doi:10.1016/S0006-3223(99)00083-9
- «Glutamatergic Dysfunction in Obsessive-Compulsive Disorder and the Potential Clinical Utility of Glutamate-Modulating Agents». Primary Psychiatry. 13
- «Voxel-wise meta-analysis of grey matter changes in obsessive-compulsive disorder». The British Journal of Psychiatry. 195. PMID 19880927. doi:10.1192/bjp.bp.108.055046
- «Meta-analytical comparison of voxel-based morphometry studies in obsessive-compulsive disorder vs other anxiety disorders». Archives of General Psychiatry. 67. PMID 20603451. doi:10.1001/archgenpsychiatry.2010.70
- «Neuroscience. Pains and pleasures of social life». Science. 323. PMID 19213907. doi:10.1126/science.1170008
- «Neural correlates of mindfulness meditation-related anxiety relief». Social Cognitive and Affective Neuroscience. 9. PMC 4040088
. PMID 23615765. doi:10.1093/scan/nst041 - «The subcallosal cingulate gyrus in the context of major depression». Biological Psychiatry. 69. PMID 21145043. doi:10.1016/j.biopsych.2010.09.034
- «Architectonic subdivision of the human orbital and medial prefrontal cortex». The Journal of Comparative Neurology. 460. PMID 12692859. doi:10.1002/cne.10609
- «Brain activity during transient sadness and happiness in healthy women». The American Journal of Psychiatry. 152. PMID 7864258. doi:10.1176/ajp.152.3.341
- Licinio J, Wong M (29 de janeiro de 2008). Biology of Depression: From Novel Insights to Therapeutic Strategies. [S.l.: s.n.] ISBN 9783527307852
- «Brain activity in ventromedial prefrontal cortex correlates with individual differences in negative affect». Proceedings of the National Academy of Sciences of the United States of America. 99. PMC 122385
. PMID 11842195. doi:10.1073/pnas.042457199 - «Decreased brain volume in adults with childhood lead exposure». PLoS Medicine. 5. PMC 2689675
. PMID 18507499. doi:10.1371/journal.pmed.0050112 - «Annotation: The neural basis of social impairments in autism: the role of the dorsal medial-frontal cortex and anterior cingulate system» (PDF). Journal of Child Psychology and Psychiatry. 44. doi:10.1111/1469-7610.00165