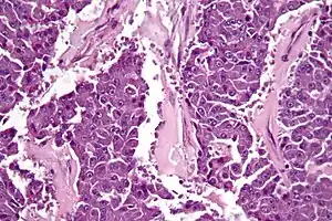
Carcinoma de células acinares do pâncreas
Carcinoma de células acinares do pâncreas é um tumor pancreático exócrino raro e maligno. Corresponde a 5% de todos os tumores do pâncreas, sendo o segundo tipo mais comum de cancro do pâncreas.[1]
| Carcinoma de células acinares do pâncreas | |
|---|---|
![]() Carcinoma de células acinares do pâncreas | |
| Classificação e recursos externos | |
Referências
- Tobias Jeffrey S., Hochhauser, Daniel, Cancer and its Management, p. 276, 2010 (6th edn), ISBN 1118713257, 9781118713259
This article is issued from Wikipedia. The text is licensed under Creative Commons - Attribution - Sharealike. Additional terms may apply for the media files.
