Cistoadenocarcinoma
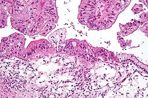
Cistoadenocarcinoma é uma forma maligna de cistoadenoma, uma neoplasia maligna derivada do epitélio glandular, no qual se formam aglomerados císticos de secreções retidas. As células neoplasmáticas manifestam vários graus de anaplasia e invasividade, podendo ocorrer metástase local. Os cistoadenocarcinomas desenvolvem-se frequentemente nos ovários.[1] Podem-se também formar no pâncreas, embora sejam consideravelmente mais raros.[2]
| Cistoadenocarcinoma | |
|---|---|
![]() | |
| Especialidade | oncologia |
| Classificação e recursos externos | |
| CID-ICD-O | 8440/3 |
| CID-11 | 2035369899 |
| MeSH | D003536 |
Referências
- «Female Genital Pathology». Consultado em 23 de março de 2009
- King JC, Ng TT, White SC, Cortina G, Reber HA, Hines OJ (Outubro de 2009). «Pancreatic serous cystadenocarcinoma: a case report and review of the literature.». J Gastrointest Surg. 13número = 10: 1864–8. PMID 19459016
This article is issued from Wikipedia. The text is licensed under Creative Commons - Attribution - Sharealike. Additional terms may apply for the media files.
