Citomegalovírus
Citomegalovírus são herpesvírus com alta especificidade com relação ao hospedeiro e que pode causar infecção em humanos, em macacos[3] e em roedores,[4] levando à aparição de células grandes, que apresentam inclusões intranucleares. No caso específico do ser humano, produz a doença de inclusão citomegálica. Tem sido encontrado em indivíduos com tumores benignos ou malignos,[5] e em portadores de HIV.[6]
| Citomegalovírus | |||||
|---|---|---|---|---|---|
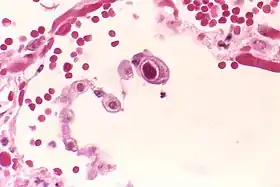
![]() Inclusão intranuclear típica de "olho de coruja" indicando infecção por CMV de um pneumócito pulmonar.[2] | |||||
| Classificação científica | |||||
| |||||
| Espécies | |||||
| Ver texto | |||||
O CMV é encontrado em todas as regiões geográficas e grupos socio-econômicos. É uma das mais comuns doenças transmitidas verticalmente, com seroprevalência variando de 45% a 100%.[7] Cerca de 50% a 80% dos adultos nos Estados Unidos são infectados pelo vírus.[8]
A seroprevalência é dependente da idade: 58,9% dos indivíduos com 6 anos ou mais são infectados, enquanto 90,8% dos indivíduos com 80 anos ou mais são infectados.[9] O CMV também é o vírus mais frequentemente transmitido de uma gestante para o feto em desenvolvimento.[10]
No Brasil, estudos de seroprevalência na população entre 15 e 45 anos de idade revelaram 81% de positividade na cidade do Rio de Janeiro e aproximadamente 90% na cidade de São Paulo e no estado de Santa Catarina.[11]
A infecção por CMV é maior em países em desenvolvimento e em comunidades com status socioeconômico menor e representa a causa viral mais significante de defeitos de nascimento em países industrializados.[12] Em média, mundialmente, a infecção tende a ser 20%—30% mais frequente em não-brancos, e mais comum em mulheres.[10]
Designação da espécie
O Citomegalovirus (CMV) é um vírus DNA de fita dupla, membro da família Herpesviridae e possui o maior genoma nessa família. O CMV cresce em células humanas, replicando-se melhor em fibroblastos.
O CMV geralmente provoca uma infecção assintomática, mas permanece latente durante a vida e pode reativar. A infecção primaria ocorre em indivíduos soronegativo para CMV que na grande maioria pode evoluir para complicações mais graves, já a infecção secundária ocorre em casos de reativação da infecção latente, reinfecção ou em uma pessoa sorologicamente positiva para CMV.
Em imunocompetentes, a doença sintomática geralmente se manifesta com síndrome da mononucleose. Manifestações clínicas importantes da doença por CMV (reativação de infecção latente ou primo-infecção) frequentemente se desenvolvem em pacientes imunocomprometidos, como indivíduos com recente transplante, portadores de HIV, pacientes com corticoterapia em altas doses, Lúpus eritematoso sistêmico, artrite reumatoide ou psoríase.
O CMV pode afetar qualquer órgão do corpo em imunossuprimidos, resultando em febre de origem desconhecida, pneumonia, hepatite, encefalite, mielite, colite, uveíte, retinite e neuropatia. Os pacientes de maior risco para contrair a infecção são indivíduos que trabalham com crianças, pacientes submetidos a transfusão sanguínea ou contato direto com fluidos corporais de uma pessoa contaminada.
O CMV é transmitido de pessoa a pessoa por contato com fluidos corporais de indivíduos soropostivo para o vírus. Pode ser transmitido pela placenta, transfusão sanguínea, transplante de órgãos, relação sexual e amamentamento materno.
A técnica de PCR apresenta elevada sensibilidade e especificidade, sendo indicada nos casos de alterações neurológicas, diagnóstico pré-natal, infecção do recém-nascido, após transplante e em indivíduos portadores do HIV.
Espécies
| Nome | Abv. | Hospedeiro |
|---|---|---|
| Cercopithecine herpesvirus 5 | (CeHV-5) | Chlorocebus sp. |
| Cercopithecine herpesvirus 8 | (CeHV-8) | Macaco-reso |
| Human herpesvirus 5 | (HHV-5) | Humanos |
| Pongine herpesvirus 4 | (PoHV-4) | ? |
| Aotine herpesvirus 1 | (AoHV-1) | (Tentative species) |
| Aotine herpesvirus 3 | (AoHV-3) | (Tentative species) |
Transmissão e prevenção
A transmissão do CMV ocorre de pessoa para pessoa através de fluidos corporais. A infecção requer contato íntimo com a pessoa que excreta o vírus através de sua saliva, urina ou outros fluidos corporais. O CMV pode ser sexualmente transmitido e também pode ser transmitido através do leite materno, transplante de órgão e raramente através de transfusão sanguínea.
Embora o CMV não seja altamente contagioso, tem se demonstrado que ele se espalha em residências e entre crianças em escolas. A transmissão do vírus é frequentemente prevenível porque ele é mais frequentemente transmitido através do nariz ou boca para uma pessoa susceptível.
A simples lavagem de mãos com água e sabão é efetiva em remover o vírus das mãos.
A infecção do CMV sem sintomas é comum em crianças e, como resultado, não é necessário retirar uma criança infectada de uma escola ou instituição. Da mesma maneira, os pacientes hospitalizados com o vírus não precisam ser separados ou isolados.
Ver também
Referências
- Mattes FM, McLaughlin JE, Emery VC, Clark DA, Griffiths PD (Agosto 2000). «Histopathological detection of owl's eye inclusions is still specific for cytomegalovirus in the era of human herpesviruses 6 and 7». Journal of Clinical Pathology. 53 (8): 612–4. PMC 1762915
. PMID 11002765. doi:10.1136/jcp.53.8.612 - Mattes FM, McLaughlin JE, Emery VC, Clark DA, Griffiths PD (Agosto 2000). «Histopathological detection of owl's eye inclusions is still specific for cytomegalovirus in the era of human herpesviruses 6 and 7». Journal of Clinical Pathology. 53 (8): 612–4. PMC 1762915
. PMID 11002765. doi:10.1136/jcp.53.8.612 - Bhanoo, Sindya N. (19 de outubro de 2015). «Serious Human In Utero Infection Is Found in Rhesus Monkeys». The New York Times (em inglês). ISSN 0362-4331. Consultado em 12 de setembro de 2023
- van der Strate, B. W. A.; Hillebrands, J. L.; Lycklama à Nijeholt, S. S.; Beljaars, L.; Bruggeman, C. A.; van Luyn, M. J. A.; Rozing, J.; The, T. H.; Meijer, D. K. F. (15 de outubro de 2003). «Dissemination of Rat Cytomegalovirus through Infected Granulocytes and Monocytes In Vitro and In Vivo». Journal of Virology (20): 11274–11278. PMC 224975
. PMID 14512575. doi:10.1128/jvi.77.20.11274-11278.2003. Consultado em 12 de setembro de 2023 - García-Bustos, Víctor; Salavert, Miguel; Blanes, Rosa; Cabañero, Dafne; Blanes, Marino (24 de outubro de 2022). «Current management of CMV infection in cancer patients (solid tumors). Epidemiology and therapeutic strategies». Revista Española de Quimioterapia (Suppl3): 74–79. ISSN 0214-3429. doi:10.37201/req/s03.16.2022. Consultado em 12 de setembro de 2023
- Zhao, Min; Zhuo, Chuanshang; Li, Qinguang; Liu, Lijuan (setembro de 2020). «Cytomegalovirus (CMV) infection in HIV/AIDS patients and diagnostic values of CMV-DNA detection across different sample types». Annals of Palliative Medicine (5): 2710–2715. doi:10.21037/apm-20-1352. Consultado em 12 de setembro de 2023
- Cannon, Michael J.; Schmid, D. Scott; Hyde, Terri B. (julho de 2010). «Review of cytomegalovirus seroprevalence and demographic characteristics associated with infection: CMV seroprevalence». Reviews in Medical Virology (em inglês) (4): 202–213. doi:10.1002/rmv.655. Consultado em 12 de setembro de 2023
- Fowler, Karen; Mucha, Jacek; Neumann, Monika; Lewandowski, Witold; Kaczanowska, Magdalena; Grys, Maciej; Schmidt, Elvira; Natenshon, Andrew; Talarico, Carla (1 de setembro de 2022). «A systematic literature review of the global seroprevalence of cytomegalovirus: possible implications for treatment, screening, and vaccine development». BMC Public Health (1). 1659 páginas. ISSN 1471-2458. PMC 9435408
. PMID 36050659. doi:10.1186/s12889-022-13971-7. Consultado em 12 de setembro de 2023 - Staras, S. A. S.; Dollard, S. C.; Radford, K. W.; Flanders, W. D.; Pass, R. F.; Cannon, M. J. (1 de novembro de 2006). «Seroprevalence of Cytomegalovirus Infection in the United States, 1988-1994». Clinical Infectious Diseases (em inglês) (9): 1143–1151. ISSN 1058-4838. doi:10.1086/508173. Consultado em 12 de setembro de 2023
- Balegamire, Safari Joseph; McClymont, Elisabeth; Croteau, Agathe; Dodin, Philippe; Gantt, Soren; Besharati, Amir Abbas; Renaud, Christian; Mâsse, Benoît; Boucoiran, Isabelle (27 de junho de 2022). «Prevalence, incidence, and risk factors associated with cytomegalovirus infection in healthcare and childcare worker: a systematic review and meta-analysis». Systematic Reviews (1). 131 páginas. ISSN 2046-4053. PMC 9235282
. PMID 35754052. doi:10.1186/s13643-022-02004-4. Consultado em 12 de setembro de 2023 - Mendrone Junior, Alfredo (fevereiro de 2010). «Prevalência da infecção pelo citomegalovírus: a importância de estudos locais». Revista Brasileira de Hematologia e Hemoterapia: 7–8. ISSN 1516-8484. doi:10.1590/S1516-84842010000100004. Consultado em 12 de setembro de 2023
- Lobato-Silva, Dorotéa de Fátima (dezembro de 2016). «Citomegalovírus: epidemiologia baseada em dados de soroprevalência». Revista Pan-Amazônica de Saúde (ESP): 213–219. ISSN 2176-6223. doi:10.5123/s2176-62232016000500024. Consultado em 12 de setembro de 2023
