Corpo de Mallory
Corpos de Mallory são inclusões patológicas encontradas no citoplasma das células do fígado.[1]

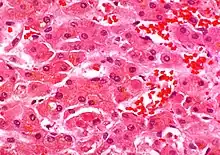
Histopatologia do fígado mostrando os corpos de Mallory característicos do abuso alcoólico.
Condições associadas
Eles são mais comumente encontrados no fígado de pessoas que sofrem de hepatite alcoólica. Os corpos de Mallory também são vistos na esteatohepatite não-alcoólica (NASH).
Os corpos de Mallory também pode ser vistos na doença de Wilson, cirrose biliar primária, síndrome colestática crônica, hiperplasia nodular focal e carcinoma hepatocelular.
This article is issued from Wikipedia. The text is licensed under Creative Commons - Attribution - Sharealike. Additional terms may apply for the media files.