Corpo de psammoma
Corpo de psammoma ou corpo psammoma (do grego ψάμμος psámmos, areia) é um termo médico para calcificações microscópicas encontradas em alguns tumores benignos e malignos(câncer) e em alguns processos inflamatórios crônicos. [1]

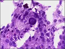
Corpo de psammoma (círculo roxo no centro) em um meningioma.
Aparência
Formam anéis concêntricos arredondados com variação de cor (como um alvo de tiro) de 20–100-µm de diâmetro, calcificados, que podem ser vistos com microscópio óptico.[2]
Função diagnóstica

Dois corpos de psammoma (roxo escuro) em carcinoma seroso peritoneal
Pode ser encontrado nos seguintes tumores[2]:
- Carcinoma papilar de tireoide
- Carcinoma de células papilares renais
- Subtipo micropapilar de adenocarcinoma pulmonar
- Cistadenocarcinoma de ovário seroso papilífero
- Adenocarcinomas do endométrio
- Meningioma, no sistema nervoso central
- Mesotelioma pleural ou peritoneal
- Somatostatinoma no pâncreas
- Prolactinoma na hipófise
- Fibroma ossificante juvenil
Referências
This article is issued from Wikipedia. The text is licensed under Creative Commons - Attribution - Sharealike. Additional terms may apply for the media files.