Dextrocardia
Dextrocardia é uma anomalia congênita relativamente rara em que o coração está virado para o lado direito do corpo. Pode ocorrer de forma isolada (Situs Inversus solitus) ou junto com outros órgãos (Situs Inversus totalis). Estão associados com um risco aumentado de diversas doenças, mas cerca de 90% dos casos não apresentam sintomas perceptíveis.[1]
| Dextrocardia | |
|---|---|
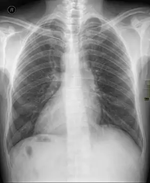
![]() Dextrocardia | |
| Especialidade | genética médica |
| Classificação e recursos externos | |
| CID-10 | Q |
| CID-9 | 746.87 |
| CID-11 | 1472687600 |
| DiseasesDB | 3617 |
| MedlinePlus | 007326 |
| MeSH | D003914 |
A origem da dextrocardia não é inteiramente conhecida pelos pesquisadores. Sabe-se que ocorre no processo de desenvolvimento fetal, às vezes surgindo por defeitos em outros órgãos como o pulmão, mas também o abdômen e peito podem contribuir para a anomalia.[2]
Causas
Pode ocorrer em Situs Inversus totalis é uma condição genética autossômica recessiva em que as maiores vísceras estão posição inversa da normal: estômago e baço ficam no lado direito, fígado no esquerdo e vasos sanguíneos, linfas, nervos e intestinos estão transpostos.
Ocorre na quarta semana do desenvolvimento embrionário, quando o tubo primitivo se dobra para a esquerda, ao invés de ir para a direita.[3]
Prevalência
Acredita-se que a Dextrocardia isolada acontece em aproximadamente 1 em 12.000 pessoas[4] e o Situs Inversus total em aproximadamente 1 a 2 em cada 10.000 pessoas.[5] É difícil estimar com precisão o número de casos, pois pode não ter nenhum sintoma, frequentemente só sendo descoberto ao examinar outras doenças. A expectativa de vida é a mesma da população em geral.
Comorbidades
A dextrocardia isolada está associada com um risco aumentado de infecções pulmonares como pneumonia, mais cansaço e problemas para respirar.[6]
A Síndrome de Kartagener acontece em aproximadamente 1 em 25 casos de Situs Inversus Totalis. Esta desordem afeta os cílios bronquiais.
Embora, estatisticamente, Dextrocardia Situs Inversus não tem nenhum problema médico proveniente desta desordem, alguns são propensos a vários problemas intestinais, bronquiais e cardíacos.
Pessoas com Dextrocardia devem ser colocadas em posições contrárias quando fizerem Eletrocardiograma (ECG), além de que quando estiverem fibrilando, as pás (do desfibrilador) devem ser colocadas no lado inverso.
Ver Também
Ligações externas
Referências
- M. E. Abbott and J. C. Meakins (1915). "On the differentiation of two forms of congenital dextrocardia". Bulletin of the International Association of Medical Museums (5): 134–138.
- «Coração virado para o lado direito do peito? Existe?». Dr. Rodrigo Paez. 12 de novembro de 2018. Consultado em 29 de abril de 2021
- http://www.rbccv.org.br/article/1277/Revascularizacao_do_miocardio_em_paciente_com_situs_inversus_totalis_e_dextrocardia
- Bohun CM, Potts JE, Casey BM, Sandor GG (July 2007). "A population-based study of cardiac malformations and outcomes associated with dextrocardia". Am. J. Cardiol. 100 (2): 305–9. doi:10.1016/j.amjcard.2007.02.095. PMID 17631088.
- «Cópia arquivada» (PDF). Consultado em 7 de março de 2014. Arquivado do original (PDF) em 7 de março de 2014
- http://www.healthline.com/health/dextrocardia#Symptoms
