Durina
Durina ou daurina (do árabe: daaurith, "sarnento", feminino de darin, "sujo"[1]) é uma forma de tripanossomíase que ataca o cavalo inteiro, o burro, e as fêmeas de ambas espécies.[2] A afecção, também designada por sífilis equina,[3] é uma doença de cavalos e de outros membros da família Equidae. A doença é causada pelo Trypanosoma equiperdum, que pertence a um importante gênero de protozoário parasita e é o único membro do gênero que é disseminado através de intercurso sexual. A ocorrência de tripanossomíase é notificável na União Europeia sob a legislação da Organização Mundial da Saúde Animal (OIE).
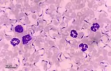
_Trypanosoma_equiperdum.jpg.webp)
Trypanosoma equiperdum
Referências
- http://www.fiocruz.br/chagas/cgi/cgilua.exe/sys/start.htm Durina
- Daurina.
- «dourine». American Heritage Dictionary of the English Language: Fourth Edition. Bartleby.com. 2000. Consultado em 13 de maio de 2007. Arquivado do original em 16 de dezembro de 2007
This article is issued from Wikipedia. The text is licensed under Creative Commons - Attribution - Sharealike. Additional terms may apply for the media files.