Ehrlichia
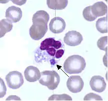
Ehrlichia é um gênero de bactérias gram-negativas da família Rickettsiaceae. Seu nome foi dado em homenagem ao microbiologista Paul Ehrlich.[1] São bactérias intracelulares, infectando monócitos e macrófago. Possuem uma parede estruturalmente semelhante à das bactérias gram-negativas, daí a sua classificação, mas não apresentam LPS nem camada de peptidoglicanos. Contrariamente à Rickettsia, estas bactérias permanecem no vacúolo do leucócito, fato que propicia à formação de mórulas visíveis ao microscópio.
| Ehrlichia | |||||||||||||
|---|---|---|---|---|---|---|---|---|---|---|---|---|---|
![]() | |||||||||||||
| Classificação científica | |||||||||||||
| |||||||||||||
| Espécies | |||||||||||||
Espécies
- Ehrlichia canis
- Ehrlichia platys
- Ehrlichia ewingii
- Ehrlichia phagocytophila
- Ehrlichia platys
- Ehrlichia bovis
- Ehrlichia equi
- Ehrlichia ondiri
- Ehrlichia ovina
Referências
- GARRITY, G.M. (ed.). Bergey's Manual of Systematic Bacteriology - The Proteobacteria Part C. 2 ed. Nova Iorque: Springer, 2005.
This article is issued from Wikipedia. The text is licensed under Creative Commons - Attribution - Sharealike. Additional terms may apply for the media files.
