Entamoeba gingivalis
Taxonomia
Reino: Protista Filo: Sarcomastigophora Subfilo: Sarcodina Classe: Lobozia Ordem: Amoebida Família: Entamoebidae Gênero: Entamoeba
Sinonímia
Amoeba gingivalis - Gros, 1849. Amoeba buccalis - Steinberg, 1862. Amoeba dentalis - Grassi, 1879. Entamoeba maxillaris – Doflein, 1901. Entamoeba pyogenes – Berdum e Bruyant, 1911. Entamoeba buccalis – Bass e Johns, 1915.
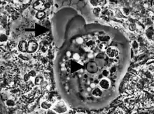
Morfologia

Não possui o estágio de cisto, somente de trofozoíta. Mede cerca de 10 a 35 micrômetros de diâmetro. Possui ectoplasma claro, endoplasma granuloso, vacúolos alimentares contendo restos celulares, bactérias e hemácias. O núcleo é aproximadamente esférico, membrana nuclear com grânulos de cromatina situados muito próximos uns dos outros, cariossomo central. Movimenta-se através de pseudópodes.
Biologia
É uma ameba parasita da cavidade bucal do homem, cão e gato. Em humanos, a ocorrência pode estar ligada com a má higienização bucal. É descrita sua presença o escarro, nas gengivas, ao lado dos dentes e principalmente na placa bacteriana dentária, já que o protozoário não está livremente distribuído na cavidade bucal e sim restrito aos acúmulos de placas dentais. O substrato para nutrição de E. gingivalis é composto de leucócitos, células epiteliais, bactérias e outros protozoários. Os trofozoítos sobrevivem até 48 horas a 15° C. São anaeróbios. A reprodução ocorre por divisão binária.
Patologia
Alguns autores como Chiavaro (1914) e Gooduz & Wellings (1917) consideram a E. gingivalis benéfica para a saúde bucal porque fagocitam bactérias, pequenos protozoários e restos celulares. Entretanto, outros autores, como Bass & Johns (1915) e Gottlieb & Miller (1917) acham que a E. gingivalis está envolvida na etiologia das doenças periodontais. Afirmação que se fundamenta no relato de melhora do quadro gengival dos pacientes após o uso de drogas de conhecida eficácia amebicida. A favor do papel patogênico de E. gingivalis está sua habilidade de fagocitar eritrócitos, uma capacidade não possuída pelos organismos não patogênicos. Possíveis sintomas em pacientes infectados por E. gingivalis segundo Lyons e Scholten(1983): edema, sangramento gengival, úlceras de palato, halitose, mal estar geral e dor de cabeça. O tabagismo, o uso de goma de mascar, o consumo de bebidas alcoólicas e a higiene precária são importantes fatores atuantes na saúde local e geral do indivíduo e na implantação dos protozoários bucais.
Transmissão
Ocorre por contato através da saliva (perdigotos, beijo, copos e talheres contaminados).
Distribuição geográfica
Estudos têm demonstrado a presença deste parasito tanto em países desenvolvidos da Europa e da América do Norte, quanto no Brasil, na Malásia, na China, nas Filipinas, em Senegal e na Nigéria.
Profilaxia e controle
Evitar o contato com a saliva de outros indivíduos. Higiene oral adequada. Embora a qualidade da higiene dentária favoreça a implantação de E. gingivalis esta parece não ser condição obrigatória, já que uma boa higiene não exclui a sua presença. Com freqüência observou-se a interação entre a membrana de E. gingivalis e células inflamatórias.
Bibliografia
Cairo leandro MARKELL, JOHN, KROTOSKI. Patologia Médica. 8ª edição. Guanabara Koogan, 2003. IGLÉSIAS, J. D. F. Aspectos médicos das parasitoses humanas. 1º edição. Editora Medsi. 1997. LEVENTHAL, R. ; CHEADLE, R. Parasitologia Médica - Texto e Atlas. 4º edição. Editorial Premier. 1997. NEVES, D. P. Parasitologia Humana. 11ª edição. Editora Atheneu. 2005. REY. Parasitologia. 3ª edição. Guanabara Koogan. 2001. NOLTE, W. Microbiologia Odontológica. 4ª edição. México: Editorial Interamericana. 1986. JUNIOR, Silvio F. Estudos de freqüência, diagnóstico e caracterização morfológica de Entamoeba gingivalis, Gros, 1849. UFU, Uberlândia 1994.