Fibras de Purkinje
As Fibras de Purkinje constituem um sistema especial de condução do estímulo elétrico no coração que permite que este se contraia de maneira coordenada. Está composto de fibras musculares cardíacas especializadas. São fibras largas que intervêm na condução do nodo atrioventricular (AV) para os ventrículos.[2]

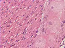
Músculos cardíaco e fibras de Purkinje tingidos com H-E.

As fibras de Purkinje transmitem impulsos cardíacos pelas células ventriculares fazendo os ventrículos se contrairem.[1]
A sua velocidade de transmissão é de 1.5 a 4 m/s, ou seja, 6x mais que as fibras musculares cardíacas e 150x mais que as fibras do nódulo AV. Permite assim uma transmissão rápida para os ventrículos.
São incapazes de transmitir os potenciais de ação no sentido contrário (ventrículos - átrios), impedindo os mecanismos de re-entrada do sangue.
Referências
This article is issued from Wikipedia. The text is licensed under Creative Commons - Attribution - Sharealike. Additional terms may apply for the media files.