Hérnia diafragmática
Hérnia diafragmática é um defeito ou buraco no diafragma que permite que o conteúdo abdominal chegue à cavidade torácica. O tratamento é usualmente cirúrgico.
| Hérnia diafragmática | |
|---|---|
![]() Hérnia diafragmática | |
| Especialidade | gastrenterologia |
| Classificação e recursos externos | |
| CID-10 | K44 |
| CID-9 | 553.3 |
| CID-11 | 453532731 |
| DiseasesDB | 31491 |
| MedlinePlus | 001135 |
| eMedicine | med/3487 |
| MeSH | D006548 |
Existem os seguintes tipos de hérnia diafragmática:
- Hérnia diafragmática congênita
- Hérnia de Morgagni
- Hérnia de Bochdalek
- Hérnia de hiato
- Hérnia diafragmática iatrogênica
- Hérnia diafragmática traumática
Sinais e sintomas
Um abdome com aparência de internamente sugado pode ser o sintoma presente no recém-nascido.[1]
Diagnosis

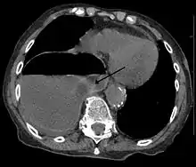
Uma hérnia diafragmática ao lado direito, com o estômago no peito (lado esquerdo da imagem marcado com uma seta). Note o nível de fluido de ar no estômago.
O diagnóstico pode ser feito por tomografia computadorizada ou raio-x. Diagnosis can be made by either CT or Xray.
Referências
- Durward, Heather; Baston, Helen (2001). Examination of the newborn: a practical guide. New York: Routledge. 134 páginas. ISBN 0-415-19184-X
- Eren S, Ciris F (2005). «Diaphragmatic hernia: diagnostic approaches with review of the literature». Eur J Radiol. 54 (3): 448–59. PMID 15899350. doi:10.1016/j.ejrad.2004.09.008
Ligações externas
This article is issued from Wikipedia. The text is licensed under Creative Commons - Attribution - Sharealike. Additional terms may apply for the media files.
