Hemisferectomia
A hemisferectomia é um procedimento neurocirúrgico no qual um hemisfério cerebral (metade da parte superior do cérebro, ou cérebro) é removido ou desconectado. É usado para tratar uma variedade de distúrbios convulsivos refratários ou resistentes a medicamentos (epilepsia).[1]

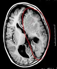
É possível parar as crises removendo a área que as produz, caso isto possa ser feito com segurança, sem danificar funções vitais. A Lobectomia remove uma área pequena do cérebro. Entretanto, em poucos casos, um paciente pode ter doenças cerebrais graves somente de um lado do cérebro, que produz crises incontroláveis e paralisias no lado oposto do corpo. Neste caso uma operação mais extensa e delicada deve ser feita, a hemisferectomia, removendo todo ou quase todo o hemisfério cerebral.
É impossível que um adulto viva com apenas um lado cérebro, mas numa criança uma metade pode substituir a outra que foi removida. Porém haverá fraqueza e perda de alguns movimentos do lado oposto do corpo e também uma perda da visão periférica.
Muitas vezes, o foco ou focos epilépticos não estão apenas em uma restrita área do cérebro, mas sim ocupando um hemisfério inteiro (como nos casos de malformação cerebral extrema chamada de hemimegalencefalia, ou nos casos de isquemia cerebral intra-uterina).
Há crianças que nascem com um lado do corpo mexendo menos que o outro e apresentando difíceis crises de controle, isto ocorre porque esta parte do cérebro nasceu danificada. Há, também, exemplos de crianças que se desenvolvem normalmente até os 5 ou 6 anos e começam a desenvolver crises epilépticas associadas a hemiparesia (mexem apenas um lado do corpo) como na Síndrome de Rasmussen.
A cirurgia serve também para os pacientes com hemimegaloencefalia, anomalia congênita: um dos hemisférios cerebrais cresce exageradamente e provoca crises epiléticas. A pessoa que nasce com essa enfermidade, já nasce convulsionando.
Referências
- Griessenauer, CJ; Salam, S; Hendrix, P; Patel, DM; Tubbs, RS; Blount, JP; Winkler, PA (janeiro de 2015). «Hemispherectomy for treatment of refractory epilepsy in the pediatric age group: a systematic review.». Journal of Neurosurgery. Pediatrics. 15 (1): 34–44. PMID 25380174. doi:10.3171/2014.10.PEDS14155
