Instabilidade de microsatélites
Instabilidade de microsatélites (MSI) são alterações que ocorrem em determinadas células em que o número de bases repetidas de ADN num microssatélite é diferente do número de quando o microssatélite foi herdado. Esta instabiliddade pode ser causada por erros que não são corrigidos durante a cópia do ADN numa célula. Embora possa ocorrer em vários tipos de cancro, é mais comum no cancro colorrectal, cancro do estômago e cancro do endométrio.[1]

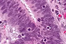
Micrografia mostrando linfócitos infiltrantes de tumor em um caso de câncer colorretal com evidências de MSI-H na imunotincagem. Corante H&E
Referências
- «Microsatellite instability». National Cancer Institute. Consultado em 23 de novembro de 2020
This article is issued from Wikipedia. The text is licensed under Creative Commons - Attribution - Sharealike. Additional terms may apply for the media files.