Intussuscepção
Uma intussuscepção é uma condição médica na qual uma parte do intestino se invagina (se dobra) por sobre outra seção do intestino, semelhante à maneira como as partes de um telescópio se retrai sobre a outra parte.[1] Muitas vezes pode resultar em obstrução. Poucas intussuscepções reduzem espontaneamente, mas, se não tratadas, a maioria levará a infarto intestinal, perfuração, peritonite e óbito.[2]
Sinais e sintomas
Os primeiros sintomas podem incluir dor abdominal, náuseas, vômitos (por vezes, na cor verde, devido a bílis), cólica intermitente moderada a grave ou dor abdominal. A dor é intermitente, não porque a intussuscepção se resolve temporariamente, mas porque o segmento do intestino transitoriamente para de contrair. Mais tarde, os sinais incluem sangramento retal, muitas vezes com fezes em forma de "geleia" (fezes misturadas com sangue e muco), e letargia. O exame físico pode revelar uma massa em forma tubular ao palpar o abdômen.[3]
A intussuscepção é a emergência mais comum entre crianças de seis meses a três anos de idade,[2] é descrita como de início súbito, dor abdominal do tipo cólica seguida por vômitos, a palpação abdominal não indica peritonismo porém com algumas horas, torna-se perceptível, o palpamento revela um volume tubular e há eliminação de muco com sangue.[4] A febre e a leucocitose apresentam-se tardiamente e estão associadas a maior possibilidade de necrose intestinal, nessa situação, sinais de alarme como prostração intensa, desidratação e choque devem ser encontrados e a confirmação de diagnóstico e o tratamento devem ser acelerados.[4]
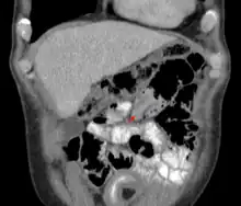
Diagnóstico

Um raio-x de abdômen pode ser indicado para verificar obstrução intestinal ou gás intraperitoneal livre. A última constatação implica que a perfuração intestinal já ocorreu. Algumas instituições utilizam enema de ar para o diagnóstico, e o mesmo procedimento pode ser utilizado para tratamento.[5]
Epidemiologia
A incidência é maior até os 2 anos de vida, mormente dos 6 meses aos primeiro ano de idade.[4] A Intussuscepção ocorre com mais frequência em meninos do que em meninas, com uma proporção de aproximadamente 3:1.[6]
Em adultos, representa a causa de cerca de 1% das obstruções intestinais e é frequentemente associada com neoplasia, maligna ou outra forma.[7]
Referências
- Gylys, Barbara A.; Mary Ellen Wedding (2009), Medicasl Terminology Systems, F.A. Davis Company
- Robert Kliegman; Bonita M.D. Stanton; Joseph St. Geme; Nina F Schor (2014). Nelson Tratado de Pediatria. Elsevier Health Sciences Brazil. pp. 1285 – 1286. ISBN 978-85-352-7588-9.
- Cera, SM (2008). «Intestinal Intussusception». Clin Colon Rectal Surg. 21 (2): 106–13. ISSN 1531-0043. PMC 2780199
. PMID 20011406. doi:10.1055/s-2008-1075859 - Jose Manuel Lopes dos Santos (2012). Protocolos Clínicos e de Regulação. Elsevier Health Sciences Brazil. pp. 1230–1231. ISBN 978-85-352-6542-2.
- «Adult Intussception : A Case Report» (em inglês). ISSN 2046-1690. doi:10.9754/journal.wmc.2011.002052
- «Intussusception» (em inglês)
- Gayer G, Zissin R, Apter S, Papa M, Hertz M (2002). «Pictorial review: adult intussusception--a CT diagnosis». Br J Radiol. 75 (890): 185–90. PMID 11893645