Lesão de Hill-Sachs
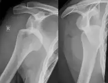
Lesão de Hill-Sachs, ou Fratura Hill-Sachs, é uma depressão cortical na cabeça do úmero posterolateral. É o resultado de impactação forte da cabeça umeral luxada contra a glenóide anterior quando o úmero é luxado anteriormente.

Epônimo
A lesão tem o nome de Harold Arthur Hills (1901-1973) e Maurice David Sachs (1909-1987), dois radiologistas de San Francisco, EUA. Em 1940, eles publicaram um relatório de 119 casos de luxação do ombro e mostrou que o defeito resultou da compressão direta da cabeça do úmero. Antes da publicação, embora a fratura já fosse conhecida por ser um sinal de luxação do ombro, o mecanismo preciso era incerto.[1]
Causas
A lesão está associada exclusivamente com a luxação glenoumeral anterior.[2] Quando o úmero é impulsionado à partir da cavidade glenoumeral, este impacta a cabeça, relativamente macia contra a borda anterior da glenóide. O resultado é um torrão, sulco ou achatamento no aspecto posterolateral da cabeça do úmero, geralmente oposto ao processo coracóide. O mecanismo que leva à luxação do ombro é geralmente traumático, mas pode variar, especialmente se houver história de deslocamentos anteriores. Esportes, quedas, convulsões, brigas ou virar na cama podem ser causas de deslocamento anterior.
Referências
- Hill HA, Sachs MD. The grooved defect of the humeral head: a frequently unrecognized complication of dislocations of the shoulder joint. Radiology 1940; 35:690-700
- Calandra, Joseph (dezembro de 1989). «The incidence of Hill-Sachs lesions in initial anterior shoulder disloactions». The Journal of Arthroscopic & Related Surgery. 5 (4): 254–257. doi:10.1016/0749-8063(89)90138-2. Consultado em 11 de maio de 2014