Margem de segurança
Margem de Segurança é um conceito largamente difundido em medicina, no que diz respeito principalmente à cirurgia de tumores cutâneos. Do ponto de vista teórico ele é fácil de entender, embora na realidade, ele se mostre extremamente relativo, pois uma grande variedade de situações bastante comuns em medicina limita bastante a sua aplicabilidade. Apesar disso, como se tratasse de um dogma, praticamente não existe na literatura médica trabalhos que questionem o conceito em si, isto é, discutam justamente a lógica de sua aplicação.
Lógica do conceito
Teoricamente é uma quantidade variável de tecido, supostamente normal, que envolve os tumores, tanto em lateralidade quanto em profundidade. No entanto, como não se enxerga histologicamente toda a margem de segurança, pode ocorrer que restos tumorais infiltrem esta faixa de tecido sem que se perceba tal acometimento. A extensão desta faixa de tecido “supostamente normal” varia de cirurgião para cirurgião e de acordo com a situação clínico-cirúrgica. De uma forma grosseira poderia se dizer que quanto maior a margem de segurança, maior a possibilidade de se retirar completamente o tumor, embora isso possa significar maior trauma cirúrgico. Ao contrário, margens de segurança mais reduzidas acarretariam maior chance de recidiva do tumor, com menor trauma cirúrgico.
A relatividade do conceito
Na literatura médica existe uma grande quantidade de trabalhos sobre recomendações para se aumentar a possibilidade de êxito em relação a uma dada margem de segurança. O problema é que muitas variáveis podem interferir no sentido de se aumentar ou não a margem de segurança pré-definida. Fatores como o tipo histológico do tumor, o seu tamanho,sua delimitação clínica, sua localização e o fato dele ser primário (quando o tumor é tratado pela primeira vez) ou recidivado (quando o tumor é tratado mais de uma vez), influenciam significativamente o tamanho da margem de segurança. Desta forma, um consenso entre as medidas recomendadas é muito difícil de ser obtido.
A metodologia da maioria dos trabalhos também varia bastante, muitos deles sendo retrospectivos, isto é, analisa-se dados histopatológicos de lesões retiradas e, de acordo com a verificação do comprometimento ou não das margens, compara-se com a situação clínico-cirúrgica correspondente, com o objetivo de traçar estratégias futuras de abordagem com alto índice de êxito. Outros, mais difíceis e mais raros de serem obtidos, prospectivamente, desenham sua metodologia de forma ideal, mas mesmo assim, não analisam todas as variáveis conjuntamente, ora focando mais em uma que em outra, de forma que fica muito difícil a comparação correta entre eles.
A margem de segurança é uma mera probabilidade, apesar de, em determinadas situações, se justificar plenamente. Talvez, o mais sensato seria não se tentar estabelecer um valor a ser seguido, mas entender as variáveis envolvidas na sua determinação da margem de segurança e da margem cirúrgica, coisas distintas, e sujeitas a fatores que vão da clínica ao ato cirúrgico e finalmente, a todo processo de preparação e interpretação dos cortes histológicos. Desta forma, estes conceitos são bastante relativos, a começar pela clínica do tumor. Basta que a delimitação do tumor seja precária, para que a aplicabilidade destes conceitos se reduza a mera probabilidade. Focar em aspectos ligados apenas a números pré-estabelecidos não nos ajuda a entender a complexidade deste tema, de forma que entender todas as possíveis variáveis envolvidas em cada caso pode ser bem mais racional.
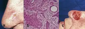
Por exemplo, um fator que limita muito a margem de segurança recomendada é a localização do tumor. Tumores localizados muito próximos de estruturas de importância tanto funcional quanto estética podem comprometer a aplicabilidade da regra. Um tumor localizado na pálpebra inferior ou no sulco naso-geniano a 1 mm da asa nasal. Uma vez que aparentemente o tumor não acomete toda a pálpebra ou a asa nasal, dificilmente um cirurgião iria retirar estas estruturas apenas porque elas estariam dentro da margem de segurança a ser adotada. Porém, se o tumor estiver comprometendo histologicamente estas regiões, poupando-as da retirada, não se vai resolver o problema oncológico. Ao contrário, se o cirurgião resolve ser agressivo e retira tais estruturas anatômicas seguindo cegamente a margem de segurança, ele poderia estar causando uma mutilação funcional ou estética desnecessária, caso se demonstre que o tumor não acometia histologicamente estas regiões.
Este é o dilema que todo cirurgião tem que resolver quando vai operar um tumor baseado no conceito de margem de segurança. A Cirurgia Micrográfica torna esta decisão mais racional, pois demonstra claramente o envolvimento histológico, caso ele exista.
As ilustrações anexas, retiradas de situações reais, ilustram o dilema


A margem cirúrgica
Um aspecto importante relacionado ao conceito de margem de segurança é o da avaliação das margens cirúrgicas. Embora semelhantes, os dois termos não são sinônimos. A margem de segurança é pre-determinada, utilizada antes da incisão da pele. A margem cirúrgica é verificada no laboratório, durante ou após a cirurgia. Rotineiramente, o exame histopatológico comum, examina menos que 0,01% da superfície total da peça cirúrgica. Isto é, o que se faz rotineiramente é uma amostragem. Assim, qualquer avaliação que o patologista faça, baseados em cortes de rotina, apenas diz respeito ao montante da área efetivamente examinada, o que é muito pouco. Dependendo do caso, pode acontecer que o laudo do exame histopatológico da peça cirúrgica registre que as margens cirúrgicas estavam livres, mas na realidade não estavam, pois o laudo se refere apenas à parte efetivamente examinada. Contrariamente, se o laudo mostrar que as margens cirúrgicas estavam comprometidas, dificilmente ele poderá apontar novamente onde ficou o tumor residual no paciente. Dificuldades técnicas durante a realização dos cortes histológicos, a forma de cortar e examinar tridimensionalmente a peça cirúrgica, perda de material, desgaste do bloco e outras situações técnicas mais específicas podem comprometer muito a avaliação rotineira das margens cirúrgicas. Tudo depende da forma e exatidão técnica com que os cortes histológicos foram realizados e entregues ao patologista para serem analisados.
A figura ao lado ilustra esquematicamente o que foi escrito.

É muito freqüente que cirurgiões “controlem” suas cirurgias através de cortes de congelação, aguardando o resultado dado pelo patologista. Por mais que se tente orientar os cortes, este tipo de análise é também por amostragem, sujeito à mesma inexatidão com relação à abrangência do exame das margens cirúrgicas totais, como demonstrado no exame convencional.A real análise da totalidade das margens cirúrgicas somente é realizada na cirurgia micrográfica, através do exame micrográfico. Este pode ser definido como um exame microscópico e topográfico da totalidade da margem cirúrgica.
Um corte histológico de rotina tem quatro micrômetros de espessura (quatro milésimos de milímetro). Para se obter um corte tão fino, que é transparente à luz que os atravessa no microscópio, utilizam-se aparelhos especiais nos laboratórios de anatomia patológica. São os micrótomos. Os tecidos humanos, com exceção de ossos, cartilagens e unhas, são geralmente moles, o que dificultaria a realização de cortes tão finos. Assim, antes que eles sejam cortados no micrótomo, é necessário enrijecer o tecido para que o corte possa ser realizado. Este processo de endurecimento dos tecidos é chamado de fixação. A desidratação intensa produzida pelo formol e pelo álcool absoluto promovem a fixação dos tecidos, tornando-os suficientemente rígidos. Porém, este processo demora no mínimo 12 horas e começa quando o cirurgião coloca a peça cirúrgica ou amostra (biopsia) no formol.
Várias técnicas foram desenvolvidas no sentido de se abreviar o período de fixação. Dentre elas, a mais utilizada é o congelamento dos tecidos. Ele pode ser feito através da retirada rápida de calor por meio de um jato de dióxido de carbono (CO2), nitrogênio líquido, ou mesmo dentro de aparelhos especiais que realizam o congelamento da peça, onde ela mesma possa ser cortada em ambiente com temperaturas que atingem cerca de 36 graus Celsius negativos. São os criostatos, ou seja, micrótomos especiais que realizam cortes em temperaturas abaixo do ponto de congelamento. Os cortes de congelação são obtidos normalmente com estes aparelhos e apenas abreviam o tempo de fixação, permitindo que o patologista faça um exame com tempo reduzido. Biopsias intra-operatórias são geralmente processadas por cortes de congelação, tendo neste caso, função diagnóstica e não de análise de margens cirúrgicas. Desta forma, cortes de congelação nada tem a ver com a exatidão do exame de margens cirúrgicas, ou com a abrangência deste exame em relação à totalidade das margens examinadas.
A utilização de cortes de congelação no sentido de análise de margens cirúrgicas é bem diferente da biopsia para diagnóstico intraoperatório. Os exames micrográficos ligados aos procedimentos de cirurgia micrográfica, tanto do método de Mohs, quanto do método de Munique, utilizam cortes de congelação, porém, não por amostragem, pois examinam praticamente a totalidade da margem cirúrgica.
Margem de segurança em Melanomas
Talvez não exista em medicina, assunto mais controverso que este. De uma forma geral, pode-se dizer que existe uma tendência atual no sentido da diminuição dos valores inicialmente propostos, geralmente ligados a grandes margens de segurança, sem que uma explicação convincente para tal agressividade cirúrgica. Apesar disso, existem tentativas muito bem intencionadas, apoiada por grande número de estudiosos para uma padronização com relação à conduta clínica e cirúrgica nestes tumores.
Embora o Instituto Nacional de Câncer tenha como padrão indicar margem de segurança de 5 cm ao redor da lesão, incluindo a fáscia em profundidade, nos tumores de tronco e membros e, 2,5 cm para tumores na face, as recomendações do Grupo Brasileiro de Melanoma defendem variação da margem segundo algumas variáveis, sendo a principal delas o índice de Breslow, que tem a ver com a espessura do tumor em milímetros (crescimento vertical do melanoma). Assim:
- Melanoma in situ
- margem de 0,5 cm
- Melanoma com Breslow menor ou igual a 1 mm
- margens mínimas de 1,0 cm
- Melanoma com Breslow entre 1 a 4 mm
- margens mínimas de 2,0 cm
- Melanoma com Breslow maior que 4 mm
- margens mínimas de 2,0 cm, usualmente 3,0 cm.
- Melanoma in situ
Bibliografia
- Huang CC, Boyce SM. Surgical Margins of Excision for Basal Cell Carcinoma and Squamous Cell Carcinoma. Semin Cutan Med Surg. 2004;23:167-173.
- Wolf DJ, Zitelli JA: Surgical margins for basal cell carcinoma. Arch Dermatol. 1987;123:340-344.
- Hendrix JD, Parlette HL. Duplicitous growth of infiltrative basal cellcarcinoma. Analysis of clinically undetected tumor extent in a paired case-control study. Dermatol Surg. 1996;22:535-539.
- Lang PG, Maize JC: Histologic evolution of recurrent basal cell carcinoma and treatment implications. J Am Acad Dermatol. 14:186-196, 1986.
- Quintas RCS, Coutinho ALF. Fatores de risco para o comprometimento de margens cirúrgicas nas ressecções de carcinomas basocelulares. Rev. Bras. Cir. Plast. 2008;23:116-9.
- Breuninger H, Dietz K: Prediction of subclinical tumor infiltration in basal cell carcinoma. J Dermatol Surg Oncol. 1991; 17:574-578.
- Kopke LFF, Bastos JCF, Andrade Filho JS, Gouvêa PS. Margem de segurança: um conceito antigo e relativo. An Bras Dermatol. 2005;80(3):279-86.
- Snow SN. Techniques and indications for Mohs micrographic surgery. In: Mikhail GR. Mohs micrographic surgery. Philadelphia: W.B. Saunders, 1991: 11-60.
- Weyers W. Excision of melanoma in historical perspective: triumph of irrationality for nearly a century. Dermatopathology: practical & conceptual. 1997;3:238-46.