Mucocele
Mucocele é nome dado a uma lesão cística benigna (normalmente contendo saliva em seu interior), assintomática e causada pelo rompimento do ducto de glândulas salivares menores da cavidade bucal. Geralmente é causado por um trauma local. A sua coloração é variada, podendo ser azulada, transparente, e em alguns casos, rosada. A mucocele é geralmente encontrada mais em crianças e adultos jovens.
| Mucocele | |
|---|---|
![]() Mucocele | |
| Especialidade | cirurgia bucomaxilofacial |
| Classificação e recursos externos | |
| DiseasesDB | 30713 |
| eMedicine | 1058145 |
| MeSH | D009078 |
Localizações
A localização mais comum para se encontrar uma mucocele é a superfície do lábio inferior. Também pode ser encontrado no revestimento interno da bochecha, no ventre da língua e no assoalho da boca. Quando encontrada no assoalho da boca, a mucocele recebe a denominação de rânula. São raramente encontradas no lábio superior.
Características
O tamanho das mucoceles variam de 1 mm a vários centímetros. A sua duração pode ser de dias a anos, e pode ocorrer inchaço recorrente com ocasional ruptura de seus conteúdos.
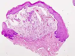
Histologia
.JPG.webp)
Microscopicamente, as mucoceles apresentam-se como um tecido de granulação envolvendo mucina. Como a inflamação ocorre concomitantemente, neutrófilos e histiócitos geralmente estão presentes.
Tratamento
Algumas mucoceles resolvem-se espontaneamente após um curto período. Outras são crônicas e exigem remoção cirúrgica total ou marsuapialização (remoção do teto da lesão). Pode ocorrer recidiva, sendo necessário, nestes casos, a remoção de glândula salivar adjacente como medida preventiva.
Referências
- NEVILLE , B.W. et al. Patologia Oral & Maxilofacial. Rio de Janeiro: Guanabara Koogan S.A., 1998.
