Neoplasia mucinosa papilar intraductal
Neoplasia mucinosa papilar intraductal é um tipo de tumor (neoplasia) que se desenvolve nos ductos do pâncreas (intraductal) e caracterizado pela produção de um líquido espesso pelas células do tumor (mucinosa).[1] Caso permaneçam por tratar, podem progredir para cancro invasivo maligno.

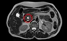
Neoplasia mucinosa papilar intraductal numa imagem por ressonância magnética.
Referências
- «Intraductal Papillary Mucinous Neoplasms of the Pancreas». Johns Hopkins University. Consultado em 7 de setembro de 2009
This article is issued from Wikipedia. The text is licensed under Creative Commons - Attribution - Sharealike. Additional terms may apply for the media files.