Neuroma do acústico
O neuroma do acústico é um tumor que foi descrito pela primeira vez em 1777 por Sandiforte, foi primeiramente diagnosticado clinicamente por Oppenheim em 1890. Foi reconhecido como uma doença tratável cirurgicamente no final do século XIX.

O Neurinoma do acústico do adulto usualmente se apresenta como um tumor solitário. Sendo um Schwanoma, ele se origina no nervo. Eles praticamente sempre se originam da porção vestibular do oitavo nervo craniano dentro do canal auditivo.
Outros nomes pelo qual pode ser referido são: Neuroma acústico, neurilemoma acústico, fibroblastoma perineural, neurinoma do nervo acústico, neurofibroma do nervo acústico, Schwannoma do nervo acústico e Schwannoma Vestibular.
Vale dizer que é um tumor benigno e operável.[1]
Sintomas
A perda auditiva inicial geralmente é sutil e pode ser atribuída erroneamente ao envelhecimento, ao acúmulo de cera ou talvez à exposição a algum ruído ambiental alto. Uma perda auditiva súbita, que é incomum, pode ser diagnosticada equivocadamente como doença de Ménière, que tem como um dos sintomas a perda auditiva.
Como 'lesões que ocupam espaço', os tumores podem atingir 3 a 4 cm ou mais de tamanho e infringir o nervo facial (expressão facial) e o nervo trigêmeo(sensação facial), gerando uma paralisia facial unilateral.[2]

Tumores muito grandes são fatais quando pressionam o cerebelo ou causam compressão do tronco cerebral. Os sintomas tardios de Schwannoma Vestibular, incluem dor de cabeça, náusea, vômito, sonolência, confusão mental e eventualmente coma.[2][3]
Apesar da esperada resolução da maioria dos sintomas, devido a ressecção do Schwannoma, é comum que mesmo após o procedimento, um em cada quatro pacientes desenvolvam tontura crônica. Vários fatores preditivos, como idade e tamanho do tumor, têm sido sugeridos.[4]
Classificação
Em geral, o tamanho do tumor (diâmetro) é descrito como pequeno (menos de 1,5 cm), médio (1,5 a 2,5 cm), grande (2,5 a 4,0 cm) e gigante (mais de 4,0 cm).[2]
Os radiologistas que relatam exames de ressonância magnética usam a escala de Classificação de Koos (não tem definição), que relaciona o tamanho do tumor à sua proximidade com o tronco cerebral e os nervos cranianos próximos.[2]
Tratamento
A neoplasia geralmente é bem encapsulada e mais comumente se apresenta no pescoço, mediastino posterior ou pelve.[1]
O comportamento variável de crescimento dos Schwannomas vestibulares (SV) torna as decisões terapêuticas muito difíceis. Esses tumores benignos, que se originam do oitavo nervo craniano (Nervo Vestibulococlear), apresentam, em parte, uma taxa de crescimento muito lenta ao longo de muitos anos. No entanto, o SV pode levar a sintomas graves como perda auditiva e tontura em pouco tempo devido ao seu aumento de tamanho.[2]
Prevalência
Schwannomas vestibulares unilaterais têm uma prevalência ao longo da vida superior a 1 caso por 500 pessoas. O comportamento clínico imprevisível desses tumores e evidências limitadas de alto nível.[2]
Nos casos estudados o diagnóstico foi realizado na maioria das vezes entre 41 e 60 anos de idade (66%),[3] sendo que há uma maior incidência no sexo feminino de acordo com a literatura nacional (brasileira)[3]
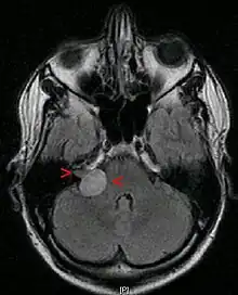
Diagnóstico
Os procedimentos diagnósticos preliminares incluem exame de ouvido, audição e testes vestibulares. O teste de resposta auditiva do tronco encefálico (PEATE) é um teste de baixo custo para verificar se um VS pode ter comprometido o nervo coclear .[5]
A tomografia computadorizada (TC) da cabeça detectará VS de tamanho moderado a grande, mas pode perder VS de tamanho pequeno. A principal vantagem da tomografia computadorizada é avaliar a extensão do envolvimento ósseo pelo VS. O VS aumenta quando o contraste iodado é administrado.[5]
A ressonância magnética é a imagem de escolha, porque pode diferenciar com mais precisão a massa de outros tumores, como meningioma , schwannoma do nervo facial, cisto epidermóide, cisto aracnóide, aneurisma e metástase cerebral. A ressonância magnética também ajuda no planejamento cirúrgico e no acompanhamento do tumor após a cirurgia.[5]
Referências
- ↑ Adams RD e Victor M. Principles of Neurology, 1989, McGraw-Hill
- Woodruff, J. M.; Godwin, T. A.; Erlandson, R. A.; Susin, M.; Martini, N. (dezembro de 1981). «Cellular schwannoma: a variety of schwannoma sometimes mistaken for a malignant tumor». The American Journal of Surgical Pathology (8): 733–744. ISSN 0147-5185. PMID 7337161. Consultado em 4 de outubro de 2022
- Leisz, Sandra (14 de setembro de 2022). «Vestibular Schwannoma Volume and Tumor Growth Correlates with Macrophage Marker Expression». National Library of Medicine. Consultado em 4 de outubro de 2002
- Bento, Ricardo Ferreira; Pinna, Mariana Hausen; Brito Neto, Rubens Vuono de (dezembro de 2012). «Schwannoma vestibular: 825 casos - 25 anos de experiência». International Archives of Otorhinolaryngology: 466–475. ISSN 1809-9777. doi:10.7162/S1809-97772012000400007. Consultado em 4 de outubro de 2022
- Van Laer, Lien; et al. (2022). «Subjective perception of activity level: A prognostic factor for developing chronic dizziness after vestibular schwannoma resection?». BVSalud. Consultado em 3 de outubro de 2022
- Amaro, Edson (18 de março de 2002). «Aspectos básicos de tomografia computadorizada e ressonância magnética»