Neurotoxoplasmose
A neurotoxoplasmose, também chamada por toxoplasmose cerebral, toxoplasmose do sistema nervoso central,[1] é uma infecção no cérebro que ocorre em pessoas com imunidade baixa. É um tipo grave de toxoplasmose e pode ser fatal se não for diagnosticada e tratada adequada e precocemente. É diagnosticada por tomografia computadorizada. É transmitida por animais.
Introdução
A toxoplasmose é uma doença causada pelo protozoário Toxoplasma gondii transmitida principalmente por animais domésticos como o gato através do contato do ser humano com as fezes contaminadas desses animais e também através de alimentos de origem animal contaminados e mal cozidos. Normalmente a toxoplasmose é combatida de forma espontânea pelo sistema imunológico dos seres humanos sem maiores complicações. A neurotoxoplasmose, em contrapartida, é uma manifestação grave da toxoplasmose, que pode acometer pessoas com uma imunidade deprimida e observada quando o protozoário instala-se no sistema nervoso central ou no cérebro, podendo acometê-lo difusamente ou formar abcessos discretos. Considera-se um fator importante para o desenvolvimento da neurotoxoplasmose a reativação de uma infecção latente de toxoplasmose, naturalmente combatida pelo organismo no passado e que voltam a causar efemeridades em pacientes imunodeprimidos, com prevalência de 3% a 50%.[2] Pode vir acompanhada, ou não, de danos na visão (toxoplasmose ocular).[1]
Diagnóstico

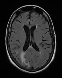
O diagnóstico da neurotoxoplasmose pode ser realizado através de exames de tomografia computadorizada ou ressonância magnética que podem revelar lesões isoladas ou múltiplas, ovaladas e com captação de contraste anelar. Exames laboratoriais de sorologia de anticorpos igG, IgM e IgA, anti-T.gondii são pouco específicos para o diagnóstico da neurotoxoplasmose; considera-se que a ausência de anticorpos IgG anti-T. gondii no soro e líquor depõe fortemente contra o diagnóstico de neurotoxoplasmose ao passo que imunoglobulinas IgA específicas no líquor e IgG na saliva podem representar dois marcadores auxiliares para o diagnóstico diferencial da encefalite toxoplásmica.[2]
Desencadeamento
A neurotoxoplasmose torna-se mais comum em pessoas com uma contagem de linfócitos CD4 abaixo de 100 cel/mm³. Sua incidência foi reduzida inicialmente com a introdução da profilaxia com sulfametoxazol e trimetoprima, utilizadas para tratar doenças causadas pelo fungo Pneumocystis jiroveci. Foi novamente reduzida após a introdução do HAART (Highly Active Antiretroviral Therapy).[1]
Sintomas
Os principais sintomas de um portador de neurotoxoplasmose são:[1]
- Febre;
- Cefaleia;
- Vômitos;
- Perda de força em certos músculos;
- Gagueira
- Convulsões;
- Letargia;
- Alterações visuais;
- Paralisia dos nervos cranianos;
- Coma.
Ver também
Referências
- «Doenças oportunistas - Neurotoxoplasmose». Viver Positivo. Consultado em 11 de julho de 2009
- Aercio Sebastião Borges, José Fernando de Castro Figueiredo (Dez. 2004). «Detecção de imunoglobulinas IgG, IgM e IgA anti-Toxoplasma gondii no soro, líquor e saliva de pacientes com síndrome da imunodeficiência adquirida e neurotoxoplasmose». 62 (4). Arq. Neuro-Psiquiatr. doi:10.1590/S0004-282X2004000600019. Consultado em 11 de julho de 2009