Oncocitoma
Oncocitoma é um tumor relativamente benigno que afeta rins, tireoide ou glândulas salivares. É composto de células epiteliais eosinofílicas com grande número de mitocôndrias (oncócitos). Representam 3 a 7% dos tumores renais primários sólidos em adultos. É mais comum após os 70 anos, e é duas a três vezes mais comum em homens.[1]
| Oncocitoma | |
|---|---|
![]() Oncocitoma | |
| Especialidade | oncologia |
| Classificação e recursos externos | |
| CID-ICD-O | 8290/0 |
| CID-11 | 2122184546 |
| DiseasesDB | 31956 |
| eMedicine | med/1045 |
| MeSH | D018249 |
Apresentação

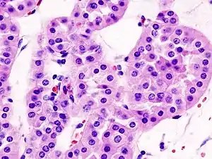
Um oncocitoma é um tumor epitelial composto de oncócitos, grandes células eosinofílicas que têm pequenos, redondos e benignos núcleos com nucléolos grandes. Pensa-se que surge das células intercaladas dos túbulos renais. Representa 5% a 15% de neoplasmas renais tirados cirurgicamente. Na sua estrutura, as células eosinofilícas têm numerosas mitocôndrias. Esteticamente os tumores são bronzeados ou marrom de caoba, bem circunscritos e contém uma cicatriz central. Podem ter uma pseudocápsula e hemorragia, mas raramente tem necrose. Eles podem alcançar um tamanho grande (até 12 cm em diâmetro). Macroscopicamente e microscopicamente não se pode distinguir-los de um carcinoma de células renais. [2]
Sinais e sintomas
A maioria dos casos (75%) são assintomáticos, descobertos por casualidade em uma tomografia ou ultrassom do abdômen. Alguns dos possíveis sintomas incluem: Hematuria, dor nos flanco, hipertensão e uma massa abdominal.[3]
Tratamento
De lenta progressão, raramente se torna maligno, mas como geralmente sao indistinguíveis de um carcinoma de células renais são removidos cirurgicamente (nefrectomia) por via das dúvidas.[4]
Referências
- http://emedicine.medscape.com/article/379653-overview
- Renal Neoplasms: An Update on Immunohistochemical and Histochemical Features
- http://radiopaedia.org/articles/renal-oncocytoma
- Oxley JD, Sullivan J, Mitchelmore A et-al. Metastatic renal oncocytoma. J. Clin. Pathol. 2007;60 (6): 720-2. doi:10.1136/jcp.2006.044198 - Free text at pubmed - Pubmed citation
.jpg.webp)