Pneumoperitônio
Pneumoperitônio é a presença de ar na cavidade abdominal. Pode ser uma condição patológica, devida à perfuração de vísceras ocas, mas pode também ser uma técnica cirúrgica.
| Pneumoperitônio | |
|---|---|
![]() Pneumoperitônio | |
| Especialidade | gastrenterologia |
| Classificação e recursos externos | |
| CID-10 | K66.8 |
| CID-9 | 568.89, 770.2 |
| CID-11 | 1236444757 |
| DiseasesDB | 31511 |
| eMedicine | radio/562 |
| MeSH | D011027 |
Pneumoperitonio natural
Muitas vezes, a perfuração de seções do trato gastrintestinal dá origem a pneumoperitonio, no entanto, outras causas de pneumoperitônio têm sido descritas, destacando-se a peritonite espontânea por bactérias produtoras de gás, o pós-operatório de cirurgias abdominais e doenças diversas (pneumomediastino, pneumatose intestinal, esclerodermia.
Sinais e sintomas
- Dor abdominal
- Distensão abdominal
Diagnóstico
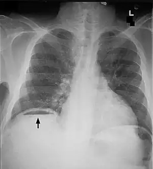
O diagnóstico é habitualmente realizado pela radiografia (tórax e abdome), sendo o achado mais freqüente a presença de ar intraperitoneal no quadrante superior direito do abdome. O pneumoperitônio torna-se radiologicamente evidente quando a quantidade de ar no abdome oscila entre 30–90 cm.
Pode-se observar na radiografia o sinal de Rigler, que é a visualização das paredes dos intestinos. No exame físico pode-se observar o sinal de Jobert, que é o aparecimento de hipertimpanismo na região hepática.
Tratamento
O tratamento pode ser realizado a base de antibioticoterapia, laparoscopia.
O pneumoperitonio como técnica cirúrgica
Para a realização da videolaparoscopia é criado um espaço na cavidade abdominal e pélvica,para que permita a inserção, dos instrumentos e a manipulação sobre os órgãos internos abdominais e pélvicos.
A primeira fase do pneumoperitônio é denominada Cega, um momento perigoso onde a cavidade peritoneal é atingida sem visualização direta, havendo a possibilidade de lesionar estruturas internas.
O pneumoperitônio é realizado com uma agulha denominada Veress. É uma agulha longa de 12 cm a 18 cm de comprimento e de calibre que oscila de 2mm a 3mm.
A agulha é ligada a uma mangueira de CO2 e o abdome é insuflado com o Gás,com ele a parede abdominal é afastada das víceras,dando formação ao campo operatório permitindo a vizibilização das estruturas intracavitárias.
A região da cicatriz umbilical é a mais indicada para fazer a introdução da agulha, pois tem menos tecido subcutâneo, está mais aderida ao peritônio e é menos vascularizada. O paciente fica em decúbito dorsal, na posição de Tredenlenburg.
Ao introduzir a agulha de Veress:
-Teste da aspiração
-Teste da Gota
-Teste do Insuflador
Há novas técnicas, desenvolvidas recentemente, para tentar minimizar os riscos da introdução às cegas da agulha de Veress, que pode lesar estruturas nobres no interior da cavidade abdominal.
Uma destas técnicas é a chamada laparoscopia aberta, na qual é realizada uma incisão com bisturi, desde a pele até o peritônio, na cicatriz umbilical, e introduzido sob visão direta.
