Tumor glômico
Tumor glômico é uma neoplasia benigna geralmente encontrada embaixo da unha, nos dedos da mão ou nos dedos do pé.[1] Representam menos de 2% de todos os tumores de tecidos moles.[2] A maioria dos tumores glômicos são benignos, mas eles também podem ter características malignas.[3]
| Tumor glômico | |
|---|---|
![]() Tumor glômico | |
| Especialidade | oncologia |
| Classificação e recursos externos | |
| CID-10 | D18 |
| CID-ICD-O | 8711/0 |
| CID-11 | 1210727602 |
| OMIM | 138000 |
| DiseasesDB | 30732 |
| eMedicine | 1083405 |
| MeSH | D005918 |
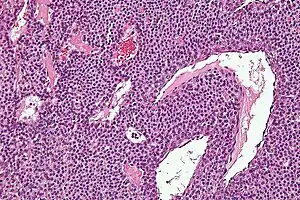
Histologicamente, tumores glômicos possuem uma arteríola, uma anastomose e uma vênula. Tumores glômicos são células de músculo liso modificadas que controlam a função de termorregulação da derme. Essas lesões não deve ser confundido com paragangliomas, que já foram equivocadamente chamados de tumores do glômicos. Tumores glômicos não surgem a partir de células glômicas, mas os paragangliomas sim.
Apresentação
Tumores glômicos são geralmente solitários, sólidos e pequenos. A grande maioria são encontrados na porção distal extremidades, particularmente em mãos, pulsos, pés, e sob as unhas. Muitas vezes são dolorosos. Essa dor pode ser desencadeada quando a lesão é exposta a água fria. Estes tumores tendem a ter uma coloração azulada, mas uma aparência esbranquiçada também pode ser observada.
Em casos raros, esses tumores podem aparecer em outras áreas do corpo, tais como o antro gástrico ou a glande do pênis. O tratamento é essencialmente o mesmo.[4]
Transformação maligna a um glomangiosarcoma, são extremamente raras e, geralmente apenas invadem localmente. No entanto, as metástases, quando ocorrem geralmente são fatais.
Tratamento
Excisão cirúrgica é o método preferencial de tratamento para tumores benignos.[5]
Referências
- Freedberg, et al. (2003). Fitzpatrick's Dermatology in General Medicine. (6th ed.). McGraw-Hill. ISBN 0-07-138076-0.
- International Agency for Research on Cancer. Pathology and Genetics of Tumours of Soft Tissue and Bone. [S.l.: s.n.] ISBN 9789283224136
- «Malignant Glomus Tumour: A Case Report and Review of the Literature». Sarcoma. 7. doi:10.1080/1357714031000081207
- «Glomus tumor of glans penis.». Urology. 25. PMID 2984824. doi:10.1016/0090-4295(85)90503-5
- «Neurotologic surgery for glomus tumors». Otolaryngol. Clin. North Am. 40. PMID 17544699. doi:10.1016/j.otc.2007.03.009
