Vírus da zica

O vírus da zica[1][2][3][4][5][6] ou vírus da zika[7][8][9][10] ou, ainda, vírus de Zika[11][12] (em inglês, Zika virus; abreviatura: ZIKV[13]) é um vírus do gênero Flavivirus. Em humanos, transmitido através da picada do mosquito Aedes aegypti, causa a doença também conhecida como zika[1][2][3][4][14][15] — que embora raramente acarrete complicações para seu portador, pode causar microcefalia congênita (quando adquirido por gestante, podendo prejudicar o feto em alguns casos).[9][16][17] O nome Zika tem sua origem na floresta de Zika, perto de Entebbe, capital da República de Uganda, onde o vírus foi isolado pela primeira vez em 1947. É relacionado aos vírus da dengue, da febre amarela e do Nilo Ocidental, os quais igualmente fazem parte da família Flaviviridae.[18]

 Nota: Para a doença causada por este vírus, veja Febre Zika.
Vírus da zica
(em inglês, Zika virus)
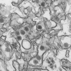
Micrografia eletrônica do vírus Zika. As partículas virais têm cerca de 40 nm de diâmetro, com um núcleo denso e cápsula exterior. (fonte: CDC)
Micrografia eletrônica do vírus Zika. As partículas virais têm cerca de 40 nm de diâmetro, com um núcleo denso e cápsula exterior. (fonte: CDC)
Classificação científica
Grupo: Grupo IV ((+)ssRNA)
Família: Flaviviridae
Gênero: Flavivirus
Espécie: Zika virus

A América Latina enfrentou um surto de vírus da zica em 2015. Suspeita-se que a entrada do vírus no Brasil tenha se dado durante a Copa do Mundo de 2014, quando o país recebeu turistas de várias partes do mundo, inclusive de áreas tropicais atingidas de forma mais intensa pelo vírus, como a África — onde surgiu — e a Polinésia Francesa na Oceania. No primeiro semestre de 2015, já havia casos confirmados em estados de todas as regiões do país. Com sintomas mais brandos que os da dengue e os da febre chikungunya (doenças também transmitidas pelo mosquito Aedes aegypti), a zica chegou a ser inicialmente ignorada pelas autoridades de saúde; porém há evidências de que a infecção pelo vírus da zica está associada a casos mais graves, como microcefalia congênita e síndrome de Guillain-Barré.[9][16][17][19]

Durante os surtos de microcefalia em 2015, pesquisas científicas sobre a relação entre o zika e a microcefalia ainda estavam em andamento, porém, já se sabe que o zika vírus está diretamente relacionado com casos de microcefalia.[20]

Virologia

Junto com outros vírus da família, o vírus da zica é envelopado e icosaedral com um genoma de RNA não segmentado, de cadeia simples e senso positivo. É mais próximo ao vírus Spondweni e é um dos dois vírus do clado do Spondweni.[21] 

O vírus foi isolado pela primeira vez em 1947 de um macaco reso (Macaca mulatta), capturado na floresta de Zika, em Entebbe, Uganda por cientistas do Uganda Virus Research Institute.[22] e foi isolado pela primeira vez em humanos em 1968, na Nigéria. De 1951 a 1981, evidências de infecção humana foram reportadas em outras nações africanas como Uganda, Tanzânia, Egito, República Centro-Africana, Serra Leoa e Gabão, assim como em partes da Ásia incluindo Índia, Paquistão, Malásia, Filipinas, Tailândia, Vietnã e Indonésia. [23] É transmitida por mosquitos e foi isolado de um número de espécies do gênero Aedes - Aedes aegypti, Aedes africanus, Aedes apicoargenteus, Aedes furcifer, Aedes luteocephalus e Aedes vitattus. Estudos mostram que o período de incubação extrínseca em mosquitos é de cerca de 10 dias.[23] Os hospedeiros vertebrados do vírus incluem macacos e humanos.[carece de fontes?]

Acredita-se que patogênese do vírus consista inicialmente em infectar células dendríticas próximas ao lugar de inoculação, e então espalham-se pelos nódulos linfáticos e na corrente sanguínea.[21] Em termos de replicação, os flavivírus tendem geralmente a se replicarem no citoplasma, mas os antígenos do vírus Zika foram encontrados em núcleos de células infectadas.[carece de fontes?]

Sintomas

Ver artigo principal: Febre Zika
Principais sintomas da febre Zika
Erupções cutâneas num braço devido ao vírus Zika

Aproximadamente 80% das pessoas infectadas não desenvolvem manifestações clínicas. Nos casos em que há manifestação de sintomas, eles costumam incluir dores de cabeça leves, febre baixa, mal estar, dores leves nas articulações, conjuntivite, coceira e exantema maculopapular (erupção cutânea que não se eleva acima da superfície da pele), que, no geral, desaparecem espontaneamente após 3 a 7 dias.[8]

O primeiro caso bem documentado do vírus da zica foi em 1964, começando com uma leve dor de cabeça que progrediu para um exantema maculopapular, febre e dor nas costas. Com dois dias, a erupção começou a desaparecer, e com 3 dias, a febre desapareceu com apenas a erupção permanecendo.[24]

Não existe tratamento específico ou vacina para a infecção pelo vírus da zica. O tratamento recomendado para os casos sintomáticos é baseado no uso de paracetamol ou dipirona para o controle da febre e manejo da dor. No caso de erupções pruriginosas, os anti-histamínicos podem ser considerados. Não se recomenda o uso de ácido acetilsalicílico (AAS) e outros anti-inflamatórios, em função do risco aumentado de complicações hemorrágicas descritas nas infecções por outros flavivírus como o vírus da dengue.[8]

Microcefalia

Ilustração de um bebê com microcefalia (à esquerda) e outro com tamanho da cabeça normal

Dados recentes sugerem que recém-nascidos de mães que contraíram o vírus da zica durante a gestação estão sob risco de terem microcefalia. Casos da malformação congênita cresceram exponencialmente no Brasil em 2015, ano em que também cresceu o número de infectados pelo vírus da zica.[25][26]

Em Novembro de 2015, o vírus da zica foi isolado em um recém-nascido com microcefalia no estado do Ceará, Brasil. Desde Dezembro de 2015, existia a suspeita (já comprovada) de que a infecção pelo zica ultrapassa a placenta e ocasiona microcefalia e danos cerebrais.[27]

Em Janeiro de 2016, um bebê em Oahu, Estados Unidos nasceu com microcefalia, e foi o primeiro caso de dano cerebral causado pelo vírus da zica nos Estados Unidos. O bebê e a mãe testaram positivo para uma cepa do vírus. A mãe provavelmente adquiriu a doença em uma viagem ao Brasil em Maio de 2015 durante os primeiros estágios da gravidez. Apesar da gravidez ter progredido normalmente, a microcefalia do bebê só foi descoberta no nascimento.[28]

Em 20 de Janeiro de 2016, cientistas do estado do Paraná, Brasil, descobriram que o vírus é capaz de penetrar a placenta durante a gravidez. Restos do material genético do vírus da zica foi encontrado numa amostra de tecido da placenta de uma mulher que abortou devido à microcefalia.[29]

As principais causas da microcefalia são rubéola, toxoplasmose, sífilis e infecções causadas pelo citomegalovírus. Existem ainda poucos casos comprovados cientificamente da relação entre o zika e a microcefalia. Por enquanto, há muitos casos inferidos (sintomas similares aos do zika, mas sem comprovação por teste de material genético - PCR).[30]

Embora a dengue e a chikungunya sejam também febres causadas por um arbovírus, como a zika, nunca se estabeleceu (de acordo com a OMS) nenhuma relação entre a infecção por essas doenças e o nascimento de bebês com microcefalia congênita. O Brasil foi o primeiro país do mundo a registrar crescimento de casos de microcefalia, cerca de 150 casos em 2014 para mais de 3 800 em 2015. Dos 3 800 casos, apenas 134 foram associadas ao vírus zika.[30] A Polinésia Francesa também investigou e notou aumento dos casos de microcefalia após a notificação brasileira.[31]

Pesquisados brasileiros demonstraram que o zika pode infectar células troncos neurais humanas e tem efeitos deletérios em neuroesferas e organóides cerebrais.[32]

Em maio de 2016, utilizando-se modelos experimentais em camundongos, foi provado que o vírus da zika pode causar danos a placenta e ao feto[33]

Em fevereiro de 2018, uma pesquisa realizada com gêmeos demonstrou que há fatores de susceptibilidade genética para ocorrências de microcefalia. A mesma pesquisa demonstrou que caso a mãe seja infectada com o zika vírus, teve como estimativa da chance do bebê nascer com microcefalia sendo de 6 a 12%[34]

Epidemiologia

Mapa da distribuição do Aedes aegypti ao redor do mundo (em tons vermelhos)

O primeiro surto da doença fora da África e Sudeste Asiático foi em abril de 2007, na ilha de Yap nos Estados Federados da Micronésia na Oceania. O vírus se caracterizou pelas erupções cutâneas, conjuntivite, e artralgia, e inicialmente se pensou que era dengue. Os vírus chicungunha e do rio Ross também foram tomados como suspeitos.[35] Porém, amostras de soro dos pacientes na fase aguda da doença continham RNA do vírus Zika. A processo infeccioso da febre Zika foi relativamente leve: houve 49 casos confirmados, 59 não confirmados, nenhuma morte ou microcefalia congênita.[36]

O primeiro surto do vírus Zika nas Américas foi confirmado em abril de 2015, no Brasil. Na cidade de Salvador, capital do estado da Bahia, as autoridades de saúde confirmaram que uma doença até então desconhecida que afeta cerca de 500 pacientes com sintomas semelhantes aos da gripe, seguido de exantema e artralgia é realmente um surto em curso da febre Zika, como provado pela técnica de RT-PCR por pesquisadores da Universidade Federal da Bahia. As autoridades locais ligaram o surto recente ao aumento do fluxo de visitantes estrangeiros motivados pela Copa do Mundo FIFA de 2014, juntamente com a grande população de insetos vetores Aedes aegypti e Aedes albopictus que habitam a região tropical. O surto segue um padrão semelhante ao também recente surto do vírus chicungunha na mesma região, outra doença até então desconhecida à população local.[37]

O vírus Zika pode ser considerado um patógeno emergente, visto que se espalhou dos Estados Federados da Micronésia pela primeira vez em 2007, para Polinésia Francesa em 2013 e Nova Caledônia em 2014. Até o momento, 1.434 casos de microcefalia em decorrência da doença já confirmados e mais 3.257 em avaliação.

Etimologia

O vírus foi isolado pela primeira vez em 1947 por cientistas que, pesquisando a febre amarela, capturaram um macaco reso na floresta de Zika (zika significando, na língua Luganda, "invadido", no sentido de "vegetação que cresceu demais e tomou conta do lugar"[38]), próximo ao Instituto de Pesquisa Virológica do leste africano, em Entebbe, capital da República de Uganda. A febre se desenvolveu no macaco e os pesquisadores isolaram de seu soro um agente transmissível que foi descrito como Vírus Zika pela primeira vez em 1952. Junto com a descrição do vírus, os cientistas financiados pela Fundação Rockefeller (Dr. Jordi Casals) forneceram o vírus para uma organização que mantém culturas de organismos para laboratórios.[39] O vírus não foi patenteado pela Fundação.[39] Foi subsequentemente isolado num humano na Nigéria em 1954. Da sua descoberta até 2007, casos confirmados de infecção com o vírus Zika na África e Sudeste da Ásia eram raros. Em 2007 porém, uma forte epidemia ocorreu na ilha Yap, Micronésia. Mais recentemente, epidemias ocorreram na Polinésia, ilha da Páscoa, Ilhas Cook e Nova Caledônia.[40]

Transmissão entre humanos

Exantema durante uma infeção por vírus zica

Em 2009, se verificou que o vírus Zika pode ser sexualmente transmitido entre humanos. Professor Brian Foy, biólogo universitário da Colorado State University no Laboratório de Doenças Infecciosas e Transmitidas por Artropódes, visitou o Senegal para estudar mosquitos e foi picado em algumas ocasiões na sua pequisa. Alguns dias depois de voltar aos EUA ele ficou doente com febre Zika, mas não sem antes ter relações sexuais com sua esposa. Sua esposa subsequentemente mostrou sinais de infecção com febre Zika,além de extrema sensibilidade à luz. Foy é a primeira pessoa conhecida a ter passado um vírus vindo de insetos a outro ser humano via contato sexual.[41]

Prevenção

As formas conhecidas atualmente para a prevenção contra a Zika são as mesmas da Dengue, a principal delas é evitar a proliferação do mosquito Aedes aegypti, eliminando potenciais criadouros com água parada. Além disso, é recomendado o uso de inseticidas e repelentes de mosquitos.[42]

Desenvolvimento da vacina

A Organização Mundial da Saúde sugeriu em 2016 que deveria ser priorizado o desenvolvimento de vacinas inativadas, que são seguras para mulheres grávidas.[43]

Em março de 2016, 18 empresas e instituições estavam desenvolvendo vacinas contra o Zika, mas afirmam que o desenvolvimento é demorado, e a vacina pode levar cerca de 10 anos até se tornar amplamente disponível.[43][44]

Em junho de 2016, o primeiro teste clínico em humanos para uma vacina para o Zika foi aprovado pelo FDA.[45] E em 2017, foram iniciados testes clínicos com vacinas de DNA,[46] como vacinas inativadas e de subunidade.[47]

Mosquitos geneticamente modificados

Aedes aegypti

Um mecanismo proposto para combate à proliferação de vetores de doenças como a Dengue e a Zica consiste no desenvolvimento e liberação de mosquitos geneticamente modificados. Em uma das modificações propostas e em fase de testes, os mosquitos, ao se reproduzirem, produzem apenas larvas inviáveis. Outro mecanismo sendo desenvolvido envolve o método chamado de genética dirigida, e envolve criar uma variante genética dos mosquitos nos quais os vírus ou parasitas são incapazes de sobreviver.[48]

Efeito em tumores

Após ter sido confirmada a relação entre o vírus e os casos de microcefalia, foram desenvolvidas pesquisas na Universidade Estadual de Campinas que mostraram que esse vírus pode combater o glioblastoma e que pode inibir o crescimento de tumores associados ao câncer de próstata.[49]

Ver também

Referências

  1. «zica». Grande Dicionário da Língua Portuguesa - Porto Editora. Consultado em 10 de fevereiro de 2016
  2. S.A., Priberam Informática,. «Significado / definição de zica no Dicionário Priberam da Língua Portuguesa». www.priberam.pt. Consultado em 29 de janeiro de 2016
  3. «"Zica" é a doença misteriosa que agride a pele | Dra Verônica». www.draveronica.com.br. Consultado em 11 de julho de 2015. Arquivado do original em 12 de julho de 2015
  4. «Zika virus: vírus da zica, em português». DicionarioeGramatica.com. Consultado em 6 de dezembro de 2015
  5. «Governo do Maranhão confirma primeiro caso de zica vírus». Consultado em 11 de julho de 2015
  6. «SES afirma que ainda não há casos confirmados de zica e chikungunya em Pernambuco - NE10». ne10.com.br. Consultado em 11 de julho de 2015
  7. S.A, Priberam Informática. «zika». Dicionário Priberam. Consultado em 11 de abril de 2023
  8. «Zika — Quais são os sintomas». Ministério da Saúde do Brasil. Consultado em 31 de janeiro de 2016
  9. «Para infectologista, dengue deve ter mais atenção do que Zika». Jornal do Commercio. Consultado em 22 de novembro de 2015. Arquivado do original em 23 de novembro de 2015
  10. G1, Do; Paulo, em São (4 de maio de 2016). «Bactéria diminui capacidade de Aedes transmitir o vírus da zika». Bem Estar. Consultado em 11 de abril de 2023
  11. ««Vírus de Zika»: «o zika» ou «o zica»? - Ciberdúvidas da Língua Portuguesa». ciberduvidas.iscte-iul.pt. Consultado em 11 de abril de 2023
  12. Correia, Paulo (Verão de 2022). «Os poxvírus e o vírus da perda de domínios» (PDF). a folha Boletim da língua portuguesa nas instituições europeias. Consultado em 2 de fevereiro de 2023
  13. «História do Vírus ZIKV | Funchal Notícias | Notícias da Madeira - Informação de todos para todos! | Notícias da Madeira e do Porto Santo». Funchal Notícias. 30 de janeiro de 2016. Consultado em 11 de abril de 2023
  14. «Dezesseis casos de febre Zica são confirmados no país». Consultado em 11 de julho de 2015
  15. «Dezesseis casos de febre Zica são confirmados no país - Notícias - R7 Saúde». noticias.r7.com. Consultado em 11 de julho de 2015
  16. «Zika vírus já foi registrado em 14 estados, segundo Ministério da Saúde». G1. Consultado em 22 de novembro de 2015
  17. «Especialistas investigam aumento de casos de microcefalia no Nordeste». G1. Consultado em 22 de novembro de 2015
  18. Fauci, Anthony S.; David M. Morens (13 de janeiro de 2016). «Zika Virus in the Americas — Yet Another Arbovirus Threat». New England Journal of Medicine (em inglês). 0 (0): null. ISSN 0028-4793. PMID 26761185. doi:10.1056/NEJMp1600297
  19. «Fiocruz comprova relação entre zika e doença rara». Zero Hora. Consultado em 25 de novembro de 2015
  20. «Uma vez mais: zika é responsável por microcefalia». Jornal da USP. 22 de março de 2017. Consultado em 11 de abril de 2023
  21. Fields Virology, 5th Edition
  22. Cohen, Jon (8 de fevereiro de 2016). «Zika's long, strange trip into the limelight». Science mag. American Association for the Advancement of Science. Consultado em 10 de fevereiro de 2016
  23. PMID 19788800 (PubMed)
  24. Hayes, E.B. (2009). «Zika Virus Outside Africa». Emerging Infectious Diseases. 15 (9): 1347–1350. PMC 2819875Acessível livremente. PMID 19788800. doi:10.3201/eid1509.090442
  25. «Alarm Spreads in Brazil Over a Virus and a Surge in Malformed Infants». New York Times. 30 de dezembro de 2015. Consultado em 31 de dezembro de 2015
  26. Natalia Cancian. «Em uma semana, casos de microcefalia em recém-nascidos crescem 85%». Folha de S.Paulo. Consultado em 1 de janeiro de 2016
  27. Darlington S (23 de dezembro de 2015). «Brazil warns against pregnancy due to spreading virus». CNN. Consultado em 23 de dezembro de 2015
  28. Jr, Donald G. Mcneil (16 de janeiro de 2016). «Hawaii Baby With Brain Damage Is First U.S. Case Tied to Zika Virus». The New York Times
  29. «Caso de aborto confirma que zika consegue atravessar a placenta». The New York Times. 16 de janeiro de 2016
  30. Roberta Jansen/ BBC Brasil (3 de fevereiro de 2016). «De zika a rubéola: as doenças que podem causar más-formações em fetos»
  31. «Polinésia Francesa também investiga má-formação de fetos após epidemia de zika - BBC Brasil». BBC Brasil. Consultado em 10 de março de 2016
  32. «Zika virus impairs growth in human neurospheres and brain organoids». PeerJ Preprints. Consultado em 10 de março de 2016
  33. «Uma vez mais: zika é responsável por microcefalia». Jornal da USP. 22 de março de 2017. Consultado em 11 de abril de 2023
  34. USP, Núcleo de Divulgação Científica da USP (2 de fevereiro de 2018). «Risco de bebes serem afetados pelo zika é ligado a padrão genético». Jornal da USP. Consultado em 6 de novembro de 2018
  35. Altman, L.K. (July 3, 2007). "Little-Known Virus Challenges a Far-Flung Health System". The New York Times.
  36. Duffy, M. R.; Chen, T. H.; Hancock, W. T.; Powers, A. M.; Kool, J. L.; Lanciotti, R. S.; Pretrick, M.; Marfel, M.; Holzbauer, S.; Dubray, C.; Guillaumot, L.; Griggs, A.; Bel, M.; Lambert, A. J.; Laven, J.; Kosoy, O.; Panella, A.; Biggerstaff, B. J.; Fischer, M.; Hayes, E. B. (2009). «Zika Virus Outbreak on Yap Island, Federated States of Micronesia». New England Journal of Medicine. 360 (24): 2536–2543. PMID 19516034. doi:10.1056/NEJMoa0805715
  37. «Identificado vírus causador de doença misteriosa em Salvador e RMS». G1. 29 de abril de 2015. Consultado em 30 de abril de 2015
  38. «A floresta onde o zika foi descoberto». BBC News Brasil. 30 de janeiro de 2016. Consultado em 11 de abril de 2023
  39. «Zika, patentes, Rockefeller»
  40. Various (junho de 2014). «Etymologia: Zika Virus». CDC. Emerg Infect Dis [Internet]. 20 (6). doi:10.3201/eid2006.ET2006. Consultado em 19 de junho de 2014
  41. Bates, D. (11 de abril de 2011). «Scientist 'becomes first person to pass insect-borne virus on to another human by sex' after making his wife ill». Daily Mail
  42. «Zika Vírus: o que é, causas, sintomas, tratamento, diagnóstico e prevenção». Saúde de A a Z, portal do Ministério da Saúde do Brasil. Consultado em 23 de novembro de 2019
  43. «WHO and experts prioritize vaccines, diagnostics and innovative vector control tools for Zika R&D». World Health Organization. 9 de março de 2016. Consultado em 23 de novembro de 2019
  44. Cook, James (27 de janeiro de 2016). «Zika virus: US scientists say vaccine '10 years away'». BBC News. Consultado em 23 de novembro de 2019
  45. Sagonowsky, Eric (21 de junho de 2016). «Inovio set for first Zika vaccine human trial». fiercepharma.com. Consultado em 1 de julho de 2016
  46. «Phase 2 Zika vaccine trial begins in U.S., Central and South America». National Institutes of Health (NIH) (em inglês). 31 de março de 2017
  47. Fernandez, E; Diamond, MS (abril de 2017). «Vaccination strategies against Zika virus». Current Opinion in Virology. 23: 59–67. PMC 5576498Acessível livremente. PMID 28432975. doi:10.1016/j.coviro.2017.03.006
  48. «Genetically modified mosquitoes breed in Brazil». Deutsche Welle. Consultado em 23 de novembro de 2019
  49. Toledo, Karina (13 de novembro de 2019). «Zika inibe proliferação de células do câncer de próstata». Agência Fapesp. Consultado em 13 de novembro de 2019

Ligações externas

This article is issued from Wikipedia. The text is licensed under Creative Commons - Attribution - Sharealike. Additional terms may apply for the media files.