Vôlvulo
Vôlvulo[1] (do latim ''volvere'', enrolar) ou volvo[2] é a torção de um órgão oco em torno de seu ponto de inserção, o que ocorre mais frequentemente quando uma parte do intestino gira em torno de si mesma e do mesentério que a sustenta, resultando em uma obstrução intestinal.[3] Os sintomas incluem dor, distensão abdominal, vômito de bílis, prisão de ventre e fezes com sangue. A evolução dos sintomas pode ser rápida ou gradual. O mesentério pode ser torcido a ponto de impedir o sangue de fluir para essa parte do intestino, a qual pode então necrosar por isquemia. Essa situação pode causar febre e mais peritonite, com dor significativa quando o abdómen é tocado.
| Vôlvulo | |
|---|---|
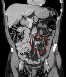
![]() Vôlvulo | |
| Especialidade | gastrenterologia, cirurgia geral |
| Classificação e recursos externos | |
| CID-10 | K56.2 |
| CID-9 | 537.3, 560.2 |
| CID-11 | 728568723 |
| DiseasesDB | 13996 |
| MedlinePlus | 002085 |
| eMedicine | ped/2415 |
| MeSH | D045822 |
Os mais antigos casos conhecidos de vólvulo foram descritos no Egito antigo, em 1550 a.C.
O nome histórico deste tipo de oclusão era paixão-ilíaca.[4]
Causas
O vôlvulo do intestino médio ocorre em pessoas (geralmente bebês) predispostas em decorrência da malformação conhecida como má rotação intestinal. Outros fatores de risco incluem o aumento do cólon, a doença de Hirschsprung, gravidez, aderências abdominais e conteúdo intestinal anormal (por exemplo, íleo meconial). Em crianças o intestino delgado é a parte mais frequentemente envolvida. Em adultos com fatores predisponentes menos importantes, tais como tecido intestinal redundante (em excesso, inadequadamente suportado) e obstipação, as partes mais comummente afetadas são o cólon transverso, o cólon sigmóide e o ceco, pois são as partes mais móveis.[5] O estômago também pode ser afetado.[6]
Diagnóstico


A clínica é típica de abdômen agudo. O diagnóstico normalmente é feito com Raio-X (parece um balão radiolúcido ou com grãos de café) e tomografia computadorizada.
Diagnósticos diferenciais incluem as causas mais comuns de obstrução intestinal mecânica: diverticulite, adenocarcinoma de cólon, doenças inflamatórias intestinais (Colite ulcerosa e Crohn)
Tratamento
O tratamento inicial para a vôlvulo do sigmoide pode ser feito através de sigmoidoscopia ou com um enema de bário. Devido ao alto risco de recorrência, uma ressecção intestinal (remover a parte afetada cirurgicamente) dentro dos próximos dois dias é geralmente recomendada. Se o intestino estiver a sem suprimento de sangue (estrangulado/isquêmico) deve-se fazer cirurgia urgentemente. No vôlvulo cecal, geralmente o ceco precisa ser removido cirurgicamente, mas, se o ceco ainda está saudável e bem irrigado, pode ser retornado para a posição normal e suturado na parede abdominal. Colonoscopia e tubo retal para corrigir a posição do cólon tem um elevado nível de recorrência, portanto, assim como a colostomia só deve ser usada em pacientes debilitados demais para uma cirurgia de ressecção.[7]
Epidemiologia
Ocorrem com mais frequência na África, Oriente Médio e Índia.[8] Nos Estados Unidos afetam de 2 a 3 por cada 100.000 pessoas por ano.[9][10] Sigmóide e cecal normalmente ocorrem entre os 30 e 70 anos.[11] O prognóstico está principalmente relacionada à presença ou não de necrose.
Referências
- S.A, Priberam Informática. «VÓLVULO». Dicionário Priberam. Consultado em 19 de outubro de 2022
- S.A, Priberam Informática. «VOLVO». Dicionário Priberam. Consultado em 19 de outubro de 2022
- «Anatomic Problems of the Lower GI Tract». NIDDK
- S.A, Priberam Informática. «paixão-ilíaca». Dicionário Priberam. Consultado em 19 de outubro de 2022
- Wilkins, Lippincott Williams & (2009). Professional Guide to Diseases. [S.l.: s.n.] ISBN 9780781778992
- Feldman, Mark; Friedman, Lawrence S.; Brandt, Lawrence J. (2010). Sleisenger and Fordtran's Gastrointestinal and Liver Disease: Pathophysiology, Diagnosis, Management, Expert Consult Premium Edition - Enhanced Online Features. [S.l.: s.n.] ISBN 1437727670
- Scott C Thornton, MD. Sigmoid and Cecal Volvulus
- 25. PMID 24294126. doi:10.1055/s-0032-1329535
- Gordon, Philip H.; Nivatvongs, Santhat (2007). Principles and Practice of Surgery for the Colon, Rectum, and Anus, Third Edition. [S.l.: s.n.] ISBN 9781420017991
- Marx, John; Walls, Ron; Hockberger, Robert (2013). «95». Rosen's Emergency Medicine - Concepts and Clinical Practice. [S.l.: s.n.] ISBN 1455749877
- Beck, David; Beck, David E. (2012). «23». Handbook of Colorectal Surgery: Third Edition. [S.l.: s.n.] ISBN 9781907816208
