Colles' fracture
English

Alternative forms
- Colles fracture
Etymology
Named after Irish surgeon Abraham Colles (1773–1843), who first described it in 1814.
Noun
Colles' fracture (plural Colles' fractures)
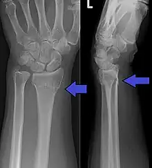
- (medicine) A distal fracture of the radius causing a dorsal displacement of the distal fragment, typically occurring as a result of a fall on an outstretched hand.
Further reading
Colles' fracture on Wikipedia.Wikipedia
This article is issued from Wiktionary. The text is licensed under Creative Commons - Attribution - Sharealike. Additional terms may apply for the media files.