cryptococcosis
English

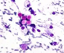
Cryptococcus, the fungus that causes cryptococcosis
Etymology
Noun
cryptococcosis (countable and uncountable, plural cryptococcoses)
- (pathology) A serious and potentially fatal fungal disease caused by members of the Cryptococcus neoformans species complex, believed to be acquired by inhalation of the infectious propagule from the environment.
- 2003, Peter G. Pappas, “Terbinafine”, in William E. Dismukes, Peter G. Pappas, Jack D. Sobel, editors, Clinical Mycology, Oxford University Press, →ISBN, page 108:
- The potential for use of terbafine as a combination agent with another antifungal drug for the treatment of cryptococcosis and invasive mould disease is exciting.
Translations
a serious disease caused the Cryptococcus neoformans fungus
|
This article is issued from Wiktionary. The text is licensed under Creative Commons - Attribution - Sharealike. Additional terms may apply for the media files.