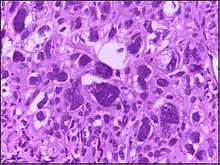
Micrograph showing large cells. H&E stain.

Large cell is a term used in oncology. It does not refer to a particular type of cell; rather it refers to cells that are larger than would be normally expected for that type. It is frequently used when describing lymphoma and lung cancer.

It was more frequently used in the past than it is used today, when doctors often could tell little about a cell other than its size, and it was used for classification systems such as the "Working Formulation" for lymphoma. As such, the term lives on in the names of many conditions, even when the size of the cell is no longer one of the most important diagnostic criteria.

The phrase giant cell is also frequently used, especially with carcinoma.

Giant cell tumors include giant-cell tumor of bone, giant-cell tumor of the tendon sheath,[1] and giant cell fibroblastoma.[2]

See also

References

  1. Giant+Cell+Tumors at the U.S. National Library of Medicine Medical Subject Headings (MeSH)
  2. Dong SS, Wang N, Yang CP, Zhang GC, Liang WH, Zhao J, Qi Y (2020). "Giant Cell-Rich Solitary Fibrous Tumor in the Nasopharynx: Case Report and Literature Review". OncoTargets and Therapy. 13: 6819–6826. doi:10.2147/OTT.S252696. PMC 7367732. PMID 32764969.


This article is issued from Wikipedia. The text is licensed under Creative Commons - Attribution - Sharealike. Additional terms may apply for the media files.