Polymetatarsia
Other namesDuplication of metatarsal.
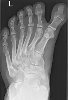
Polydactyly-associated polymetatarsia.
SpecialtyMedical genetics
Usual onsetCongenital
DurationLife-long, but can be corrected with surgery
CausesGenetic mutation
PreventionNone
PrognosisGood
FrequencyUncommon (with polydactyly), very rare (without polydactyly)
Deaths-

Polymetatarsia is a rare congenital malformation which is characterized by the presence of 6 or more metatarsal bones in the same foot. It is most commonly seen alongside polydactyly,[1] and it often appears between the fourth and fifth metatarsals or beside the fifth metatarsal.

Few cases of polymetatarsia not associated with polydactyly have been reported.[2]

References

  1. Troetsch, Roman Bernal. "Polymetatarsia without polydactyly | Radiology Case | Radiopaedia.org". Radiopaedia. Retrieved 2022-06-02.
  2. Ishii, T.; Kawabata, H.; Kuratsu, S.; Miki, K.; Yoshikawa, H. (2005-03-01). "Two cases of complete polymetatarsia without polydactyly". British Journal of Plastic Surgery. 58 (2): 267–270. doi:10.1016/j.bjps.2004.10.018. ISSN 0007-1226. PMID 15710126.
This article is issued from Wikipedia. The text is licensed under Creative Commons - Attribution - Sharealike. Additional terms may apply for the media files.