Cateterismo de coronárias
Cateterismo de coronárias ou angiografia de coronárias é um procedimento minimamente invasivo para acessar a circulação coronária e cavidades do coração, usando um cateter. É realizado tanto para fins diagnósticos, como para intervenção (tratamento).
| Cateterismo de coronárias |
|---|
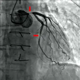
![]() Cateterismo de coronárias mostrando oclusões no ramo principal da artéria coronária esquerda (seta superior) e na ramificação circunflexa da artéria coronária esquerda [en] (seta inferior). |
| Informações |
| Nome completo: cateterismo de coronárias |
| Campo da medicina: hemodinâmica |
| Tipo de intervenção: percutânea, minimamente invasiva |
| Primeira aplicação: Egas Moniz, em 1927 na Universidade de Lisboa |
| Enfatiza-se a leitura de A Wikipédia não dá conselhos médicos |
Especificamente, o cateterismo de coronárias é um tipo de exame de imagem na área da angiografia, que pode diagnosticar oclusão vascular [en], estenose, reestenose, trombose ou aumento aneurismático do lúmen das artérias coronárias. Também pode aferir as dimensões das cavidades cardíacas, o desempenho de contração do músculo cardíaco e alguns aspectos funcionais das válvulas cardíacas.
As pressões arteriais cardíacas e pulmonares internas importantes, que não são mensuráveis externamente ao corpo, podem ser medidas com precisão durante o exame. As patologias mais relevantes que o exame mostra com maior frequência ocorrem como resultado de aterosclerose avançada - resultante de ateromas nas paredes internas das artérias. Com menor frequência, são diagnosticados problemas nas válvulas cardíacas, no músculo cardíaco e arritmia.
O estreitamento luminal das artérias coronárias reduz a reserva de fluxo do sangue oxigenado para o coração, produzindo tipicamente angina intermitente e a oclusão luminal em estágio avançado, em geral leva a um ataque cardíaco. No entanto, tem sido cada vez mais reconhecido, desde o final da década de 1980, que o cateterismo de coronárias não permite o reconhecimento da presença ou ausência da própria aterosclerose coronariana, apenas alterações luminais significativas que ocorrem por complicações terminais do processo aterosclerótico.
História
A técnica da angiografia propriamente dita foi desenvolvida pela primeira vez em 1927, pelo médico português Egas Moniz, na Universidade de Lisboa, em uma angiografia cerebral. A visualização da vasculatura foi obtida por radiação com raios-X, com o auxílio de um contraste introduzido por cateter.
O cateterismo cardíaco foi realizado pela primeira vez em 1929, quando o médico alemão Werner Forßmann inseriu um tubo de plástico em sua própria veia cubital e o direcionou para a câmara direita do coração. Forßmann fez um raio-x para provar o sucesso do procedimento e o publicou em 5 de novembro de 1929, com o título Über die Sondierung des Rechten Herzens (Sobre a Sondagem Correta do Coração).
No início da década de 1940, os fisiologistas André Cournand (francês) e Dickinson Richards (norte-americano) realizaram medições mais metódicas da hemodinâmica do coração. Por seu trabalho na descoberta de cateterismo cardíaco e medições hemodinâmicas, Cournand, Forßmann e Richards dividiram o prêmio Nobel de Fisiologia ou Medicina em 1956.
Em 1958, durante um exame de raio-X, o cardiologista norte-americano Mason Sones [en], acidentalmente injetou contraste em uma artéria coronária direita do paciente ao invés do ventrículo esquerdo. Embora o paciente tenha sofrido uma parada cardíaca reversível, Sones desenvolveu o procedimento ainda mais. Durante quatro anos, foram realizadas angiografias coronarianas em mais de dois mil pacientes, para estabelecer as doses corretas e tipos de contraste a utilizar. A partir de então, foi possível visualizar doenças das artérias coronárias com uso de contraste.[1]
No início dos anos 1960, o cateterismo cardíaco frequentemente levava várias horas e envolvia complicações significativas em cerca de 3% dos pacientes. Com a evolução das técnicas, materiais e equipamentos para o procedimento ao longo do tempo, o cateterismo de coronária passou a ser realizado mais rapidamente e com resultados significativamente melhores. Desde o final dos anos 1970, com base no trabalho pioneiro do radiologista Charles Dotter [en] em 1964 e também do radiologista e cardiologista Andreas Gruentzig a partir de 1977, o cateterismo coronário foi estendido para outras aplicações como a realização de tratamento menos invasivo para angina e aterosclerose.
Indicação e riscos
O procedimento é indicado nas ocorrências de infarto do miocárdio, angina de Prinzmetal, teste ergométrico com resultado anormal, insuficiência cardíaca, arritmia cardíaca grave, sobrevivência a morte súbita cardíaca. É o procedimento padrão para identificar a presença e a extensão da aterosclerose coronária.[2]
Embora não existam contraindicações absolutas para realização do cateterismo de coronárias, os riscos associados podem ser atribuídos tanto a complicações cardíacas e como não cardíacas. Estados específicos pertencentes ao perfil médico geral do paciente, como idade avançada, insuficiência renal, diabetes mellitus não controlada e obesidade mórbida podem aumentar o risco de complicações. O estado cardiovascular subjacente do paciente pode predispor ainda mais a eventos adversos. A extensão da aterosclerose coronária, insuficiência cardíaca congestiva com baixa fração de ejeção, acidente vascular cerebral recente ou infarto do miocárdio e propensão ao sangramento, por exemplo hemofilia, são algumas das características cardiovasculares que podem aumentar as complicações cardíacas e vasculares durante o procedimento. Além disso, o tipo de procedimento a ser realizado, seja angiografia coronariana diagnóstica ou intervenção coronariana percutânea adicional, pode diferenciar os risco potenciais.[2]
No entanto, complicações maiores são incomuns e ocorrem em menos de 2% dos casos, com mortalidade de menos de 0,08%. São relativamente poucos os pacientes que não podem ser avaliados com segurança por profissionais experientes. O uso de meios de contraste iso-osmolares, cateteres diagnósticos de baixo perfil, medidas para reduzir a incidência de sangramento e a experiência do profissional reduzem ainda mais a já baixa incidência de tais complicações. Portanto, o procedimento pode ser realizado com sucesso mesmo no paciente mais gravemente doente, quando clinicamente indicado, com risco relativamente baixo. No entanto, a relação risco-benefício do cateterismo de coronárias e a familiaridade com os potenciais benefícios e riscos devem ser avaliados individualmente para minimizar quaisquer problemas potenciais.[2]
Reações alérgicas adversas
Reações alérgicas locais e sistêmicas à anestesia local são extremamente raras. Meta-hemoglobinemia, reações semelhantes à asma, reação vasodepressora (colapso de vasos sanguíneos)[3] e toxicidade da anestesia foram relatadas.[4] A maioria dos relatos é com os agentes mais antigos e tem sido pouco relatada com agentes amida, como a lidocaína. As reações geralmente são dermatológicas e raramente são anafiláticas. As reações que ocorrem são geralmente secundárias aos conservantes utilizados na preparação da medicação. O uso de agentes sem conservantes, como a bupivacaína, e o teste cutâneo são necessários em pacientes com histórico de reações a anestésicos locais.[2]
Procedimento
Utilizando um cateter-guia, é possível passar uma variedade de instrumentos para dentro da artéria, como fios guia e cateteres de dilatação por balão.
Ao injetar o radiocontraste por uma pequena passagem através do cateter de balão, o balão é progressivamente expandido. As pressões hidráulicas são aplicadas de acordo com a resposta do balão dentro da estenose do vaso sanguíneo. O balão preenchido com radiocontraste é observado pelo método de fluoroscopia à medida que é expandido e a força hidráulica é aplicada de acordo com a necessidade para ser eficaz no aumento do lúmen da artéria.[5]

Esq: o cateter é inserido pela artéria femoral e conduzido até a aorta
Centro: o cateter chega à artéria coronária esquerda
Dir:o meio de contraste é injetado na artéria e mostra através de imagiologia a estenose da artéria
As pressões normais típicas da artéria coronária são em torno de 200 mmHg (26,7 kPa). A pressão aplicada no balão pode chegar a 20 atm (2 030 kPa). O balão inicialmente envolve o cateter, próximo à sua extremidade, formando um perfil transversal que facilita a passagem pela seção luminal obstruída e em seguida é inflado até atingir um diâmetro específico pré definido.[6]
Vários outros dispositivos podem ser introduzidos na artéria por meio de um cateter-guia, como cateteres a laser, stents, cateteres para ecografia, para ecocardiografia Doppler [en], cateter de medição de pressão ou temperatura e vários dispositivos de remoção de coágulos.
Os stents são os dispositivos mais comumente usados, depois do cateter de balão. Quando o balão e o stent estão posicionados dentro da estenose, o balão é inflado e, por sua vez, expande o stent e a artéria. O balão é removido e o stent permanece no lugar, apoiando a parede interna da artéria na posição mais aberta e dilatada. Alguns stents, chamados farmacológicos liberam medicamentos anticoagulantes.[5]
Referências
- Brie Zeltner (19 de agosto de 2012). «Cleveland Clinic's heart start began with a slight slip that led to groundbreaking discoveries (photo gallery)» (em inglês). Cleveland.com. Consultado em 30 de maio de 2017. Cópia arquivada em 6 de maio de 2016
- M. Tavakol; S. Ashraf; S.J. Brener (janeiro de 2012). «Risks and Complications of Coronary Angiography: A Comprehensive Review» (em inglês). Canadian Center of Science and Education. PMID 22980117. Cópia arquivada em 17 de abril de 2019
- Definição de vasodepressão Dicionário Médico
- Finder & Moore, 2002
- F Feres, RA Costa; D Siqueira, JR Costa Jr; et al. (julho de 2017). «Diretriz da Sociedade Brasileira de Cardiologia e da Sociedade Brasileira de Hemodinâmica e Cardiologia Intervencionista sobre intervenção coronária percutânea». Arquivos Brasileiros de Cardiologia. 109 (1). doi:10.5935/abc.20170111. Consultado em 16 de julho de 2020. Cópia arquivada em 16 de julho de 2020
- «Cateterismo cardíaco – Angioplastia com Stent». 7 de maio de 2020. Consultado em 16 de julho de 2020. Cópia arquivada em 16 de julho de 2020
Ligações externas
Media relacionados com Cateterismo de coronárias no Wikimedia Commons
