< WikiJournal of Medicine

WikiJournal of Medicine
Open access • Publication charge free • Public peer review • Wikipedia-integrated

WikiJournal of Medicine is an open-access, free-to-publish, Wikipedia-integrated academic journal for Medical and Biomedical topics. <seo title=" WJM, WikiJMed, Wiki.J.Med., WikiJMed, Wikiversity Journal of Medicine, WikiJournal Medicine, Wikipedia Medicine, Wikipedia medical journal, WikiMed, Wikimedicine, Wikimedical, Medicine, Biomedicine, Free to publish, Open access, Open-access, Non-profit, online journal, Public peer review "/>

VOLUME 1 (2014)
ISSUE 2  
Previous issue

Author: Salim Fadhley

Image of obstetricians performing a cesarean section.

Full article:
Full text   |   Download
doi: 10.15347/WJM/2014.006

Author: Ed Uthman

Image of a human embryo at 7th weeks of gestational age

Full article:
Full text   |   Download
doi: 10.15347/WJM/2014.007

Author: Mikael Häggström

This is a gallery of medical images contributed by Mikael Häggström by 2014.

Full article:
Full text   |   Download
doi: 10.15347/WJM/2014.008

Author: David Richfield

This is a gallery of images contributed to Wikimedia projects by David Richfield by 2014

Full article:
Full text   |   Download
doi: 10.15347/WJM/2014.009

Author: Blausen.com staff

This is a gallery of images contributed to Wikimedia projects by Blausen Medical by 2014.

Full article:
Full text   |   Download
doi: 10.15347/WJM/2014.010

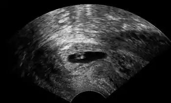
Author: Jesper Agrell

Ultrasonography of a cervical pregnancy

Full article:
Full text   |   Download
doi: 10.15347/WJM/2014.011

Author: Gwinyai Masukume

While rare, abdominal pregnancies have a higher chance of maternal mortality, perinatal mortality and morbidity compared to normal and ectopic pregnancies, but on occasion a healthy viable infant can be delivered. Because tubal, ovarian and broad ligament pregnancies are as difficult to diagnose and treat as abdominal pregnancies, their exclusion from the most common definition of abdominal pregnancy has been debated. Others - in the minority - are of the view that abdominal pregnancy should be defined by a placenta implanted into the peritoneum.

Full article:
Full text   |   Download
doi: 10.15347/WJM/2014.012

        This article is issued from Wikiversity. The text is licensed under Creative Commons - Attribution - Sharealike. Additional terms may apply for the media files.