histologia

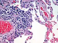
Uma secção de tecido pulmonar corado com hematoxilina e eosina. Esta pessoa sofre de enfisema.
Português
Portugal
- AFI: /iʃ.tu.lu.ˈʒi.ɐ/
No Wikcionário
- histológico
This article is issued from Wiktionary. The text is licensed under Creative Commons - Attribution - Sharealike. Additional terms may apply for the media files.