Célula G
A célula G é um tipo de célula do antro gástrico, parte afunilada do estômago, que secreta gastrina, hormônio protéico liberado na ingestão de alimentos com alto teor protéico. Atua na mucosa gástrica estimulando células parietais a liberarem HCl.[1]

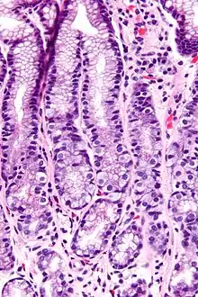
Microfotografia do antro gástrico mostrando um grande número de células G, com forma semelhante a ovos estrelados.
Referências
- «G Cell - an overview | ScienceDirect Topics». www.sciencedirect.com. Consultado em 7 de abril de 2022
This article is issued from Wikipedia. The text is licensed under Creative Commons - Attribution - Sharealike. Additional terms may apply for the media files.