Célula principal
This article is issued from Wikipedia. The text is licensed under Creative Commons - Attribution - Sharealike. Additional terms may apply for the media files.
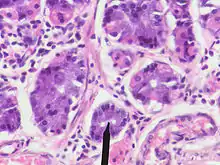
Célula principal é um tipo de célula no estômago que libera pepsinogênio e lipase.
