Fratura de Jefferson
Uma fratura de Jefferson é uma fratura da primeira vértebra (atlas). É classicamente descrita como uma fratura em quatro partes dos arcos posterior e anterior do atlas,[1] embora ela também possa aparecer como uma fratura em duas ou três partes. A fratura pode resultar de compressão da segunda vértebra ou hiperextensão do pescoço, causando uma fratura posterior, que pode estar acompanhada por fraturas de outras partes da coluna cervical.[1]
| Fratura de Jefferson | |
|---|---|
![]() | |
| Especialidade | medicina de urgência |
| Classificação e recursos externos | |
| CID-10 | S12.0 |
Somente cerca de 1-2% das fraturas espinhais são fraturas do atlas, das quais cerca de um terço são fraturas clássicas de Jefferson com 4 fragmentos.[2] É causada por uma força potente axial (longitudinal, ao longo da coluna vertebral) sobre o crânio, que é transmitida aos côndilos laterais, quebrando o anel do atlas em seu local mais fraco, levando os fragmentos de fratura para fora. Frequentemente isto ocorre em lesões durante banhos, quando a pessoa salta de cabeça em águas rasas.
Epônimo
A fratura recebe o nome em homenagem ao neurologista e neurocirurgião britânico Sir Geoffrey Jefferson, que descreveu quatro casos da fratura em 1920 além de revisar casos anteriores que já haviam sido descritos anteriormente.[3]
Em 1920 escreveu em seu trabalho „Fracture of the atlas vertebra: report of four cases, and a review of those previously recorded“, que ela ocorre na forma clássica de fratura múltipla (uma fratura bilateral do arco posterior e anterior do atlas).[4]
Etiologia

As fraturas de Jefferson são geralmente causadas por impacto ou sobrecarga na porção posterior da cabeça. São frequentemente associadas com mergulhos em águas rasas, impacto contra o teto de um veículo e quedas,[5] e em crianças pode ocorrer durante quedas do equipamento do playground.[6] Menos frequentemente, uma forte rotação da cabeça também pode resultar nas fraturas de Jefferson.[5]
As fraturas de Jefferson são extremamente raras em crianças, mas a recuperação é geralmente completa sem cirurgia.[6]
Sintomas
As pessoas com fraturas de Jefferson geralmente relatam dor no pescoço superior mas não apresentam sinais neurológicos. A fratura também pode causar lesão às artérias do pescoço, resultando em síndrome medular lateral, síndrome de Horner, ataxia e a inabilidade de sentir dor ou temperatura.[1]
Em casos raros, anormalidades congênitas podem causar os mesmos sintomas de uma fratura de Jefferson.[7][8]
Diagnóstico
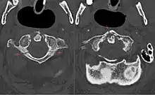
A confirmação radiológica se dá através de uma radiografia com a boca aberta.
Referências
- Wheeless, Clifford. «Atlas Frx / Jefferson Fracture». Duke University Division of Orthopaedic Surgery. Consultado em 29 de novembro de 2007
- medm.de: S12.0 Fraktur des 1. Halswirbels / Atlasringfraktur / C1-Ringfraktur[ligação inativa]
- Jefferson G (1920). «Fracture of the atlas vertebra: report of four cases, and a review of those previously recorded». Br J Surg. 7: 407–22. doi:10.1002/bjs.1800072713
- Fracture of the atlas vertebra: report of four cases, and a review of those previously recorded. British Journal of Surgery, London, 1920, 7: 407-22.
- Foster, Mark (1 de dezembro de 2006). «C1 Fractures». WebMD. Consultado em 29 de novembro de 2007
- Korinth MC, Kapser A, Weinzierl MR (2007). «Jefferson fracture in a child--illustrative case report». Pediatr Neurosurg. 43 (6): 526–30. PMID 17992046. doi:10.1159/000108801
- de Zoete A, Langeveld UA (2007). «A congenital anomaly of the atlas as a diagnostic dilemma: a case report». J Manipulative Physiol Ther. 30 (1): 62–4. PMID 17224357. doi:10.1016/j.jmpt.2006.11.011
- Gehweiler JA, Daffner RH, Roberts L (1983). «Malformations of the atlas vertebra simulating the Jefferson fracture». AJR Am J Roentgenol. 140 (6): 1083–6. PMID 6602470
