Fratura de Smith
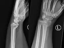
Uma fratura de Smith, também conhecida como fratura de Colles invertida é uma fratura do rádio distal causada por queda sobre punhos fletidos, ao contrário da fratura de Colles, que ocorre em queda sobre punho estendido.
| Fratura de Smith | |
|---|---|
![]() | |
| Classificação e recursos externos | |
| CID-10 | S52.5 |
| CID-9 | 813.41 |
| CID-11 | 44086427 |
As fraturas de Smith são menos comuns que as fraturas de Colles.
A melhor forma de tratamento através de cirurgia e implantação de um Fio de Kirschner juntamente a uma imobilização gessada.
Ver também
This article is issued from Wikipedia. The text is licensed under Creative Commons - Attribution - Sharealike. Additional terms may apply for the media files.
