Adenoma
Um adenoma é uma coleção de origem glandular (do grego adeno, "glândula" ) [1] de crescimento benignos (-oma)[2]. Os adenomas podem crescer de muitos órgãos inclusive o cólon, adrenal, hipófise, tiroide, etc. Estes crescimentos são benignos, embora com o passar do tempo eles podem progredir e ficar malignos. Nesse estágio, eles são chamados adenocarcinomas. Embora os adenomas sejam benignos, eles têm o potencial para causar complicações de saúde sérias comprimindo outras estruturas (efeito de massa) e produzindo quantias grandes de hormônios de uma maneira desregulada (síndrome paraneoplásica).
| Adenoma | |
|---|---|
![]() Adenoma | |
| Especialidade | oncologia |
| Classificação e recursos externos | |
| CID-10 | D12, D35.0, D34, D35.2 e outros |
| CID-9 | 211.3, 211.5,223.0, 226, 227.0, |
| CID-ICD-O | 8140/0, 8550/0 |
| CID-11 | 1170903121 |
| MeSH | D000236 |
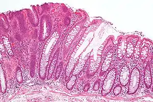
Histopatologia
Adenoma é um tumor de tecido epitelial benigno que surge no epitélio da mucosa (estômago, intestino delgado, e intestino grosso), glândulas (endócrinas e exócrinas), e tubos. Em órgãos ocos (área digestiva), o adenoma cresce acima no lúmen. Dependendo do tipo da base de inserção, o adenoma pode ser lobular de pedunculatado e encabeça com um talo esbelto longo, coberto pela mucosa normal ou sessile (base larga).
Locais
Cólon
Adenomas do cólon são bastante prevalecentes. Eles são achados comumente na colonoscopia. Eles são removidos por causa da tendência de ficarem malignos e conduzirem a um câncer de cólon.
Renal
Este é um tumor que é freqüentemente pequeno e assintomático, e se derivou dos túbulos renais. Pode ser uma lesão de precursor a carcinoma renal.
Adrenal
Adenomas adrenais são comuns, e são achados freqüentemente no abdômen, normalmente não como o foco de investigação; eles são achados normalmente acidentalmente. Aproximadamente um em 10 000 é maligno. Assim, uma biópsia raramente é pedida, especialmente se a lesão for homogênea e menor que 3 centímetros. Imagens de seguimento em três a seis meses podem confirmar a estabilidade do crescimento.
Enquanto algum adenomas adrenais não secretam hormônios, alguns secretam cortisol, causando síndrome de Cushing, aldosterona que causa a síndrome de Conn, ou andrógeno que causam hiperandrogenismo.
Tiróide
São achados nódulos tiroides solitários em aproximadamente uma em 10 pessoas. A investigação é necessária porque uma percentagem pequena destes é maligna. Biópsia normalmente confirma o crescimento para ser um adenoma, mas, às vezes, a remoção na cirurgia é necessária, especialmente quando as células achadas na biópsia forem do tipo folicular.
Hipófise
São vistos adenomas na hipófise comumente em 10% dos pacientes neurológicos. Muito deles permanecem sem diagnóstico. O tratamento é normalmente cirúrgico para qual os pacientes geralmente respondem bem. O subtipo mais comum, prolactinoma, é visto mais freqüentemente em mulheres, e comumente é diagnosticado durante gravidez pois a progesterona aumenta seu crescimento. Bromocriptina] de terapia médica geralmente suprime prolactinomas; terapia de antagonista de progesterona não provou ter êxito.
Fígado
Adenoma Hepatocelular, adenomas hepáticos são tumores benignos e raros do fígado que podem apresentar hepatomegalia ou outros sintomas.
Mama
São chamados de fibroadenomas. Eles são freqüentemente muito pequenos e difíceis de descobrir. Freqüentemente não há nenhum sintoma. Tratamentos podem incluir uma biópsia de agulha, remoção ou ambos.
O fibroadenoma é o tumor benigno mais comum da mama feminina e ocorre durante a idade fértil. É composto por estroma fibroso e glândulas. Alguns fibroadenomas correspondem a hiperplasias, mas muitos são neoplasias benignas verdadeiras, originadas no estroma intralobular da mama. Nestes casos, as células da parte conjuntiva do tumor são monoclonais, as da parte epitelial são policlonais. Isto indica que estas últimas não são propriamente neoplásicas, mas proliferam em resposta a estímulos químicos secretados pelas células do estroma. (Durante muito tempo se pensou que o fibroadenoma era um tumor misto com duas linhagens de células neoplásicas; hoje isto não é mais aceito).
O tumor forma um nódulo bem delimitado do tecido mamário adjacente, notando-se uma delicada cápsula fibrosa. Na microscopia, o componente epitelial forma túbulos ramificados e dilatados, em meio ao estroma. No fibroadenoma, o estroma é frouxo, composto por células estreladas separadas por material intersticial levemente basófilo. O aspecto lembra o do estroma intralobular do lóbulo mamário normal, onde o tumor se origina.
No componente epitelial do fibroadenoma pode-se observar a dupla população celular (células epiteliais e mioepiteliais) como no tecido mamário normal. As células epiteliais secretam o leite (nos lóbulos) ou o conduzem (nos ductos). As células mioepiteliais são contráteis, ajudando a extrusão do produto. A dupla população é um importante elemento a favor da benignidade do tumor, pois mostra que as células se diferenciam em dois tipos topograficamente relacionados entre si. Num tumor maligno as células tendem a ser indiferenciadas, isto é anárquicas, sem relações topográficas ou funcionais definidas umas com as outras. Ver a este respeito a lâmina de carcinoma da mama
Apêndice
Adenomas também podem aparecer no apêndice. A condição é extremamente rara, e a maioria dos médicos nunca encontrará um caso, mas eles acontecem. A versão mais comum é chamada cistadenoma. Eles normalmente são descobertos no curso de exame do tecido que segue um apendicectomia. Se o apêndice rompeu e um tumor está presente, isto apresenta desafios, especialmente se células malignas forem formadas e esparramarem-se ao abdômen.
Referências
- «Adenoipófise». Wikipédia, a enciclopédia livre. 1 de dezembro de 2017
- www.looplink.com.br, Looplink -. «Nomenclatura de neoplasias». petdocs.ufc.br. Consultado em 14 de maio de 2018
