Displasia
Displasia, no contexto da saúde, é um termo generalista utilizado para designar a ocorrência de anomalias relacionadas ao desenvolvimento de um órgão ou tecido, intimamente relacionadas alterações genéticas e agressão continuada. Ocorre em todos animais, inclusive em humanos.[1]. É um tipo de lesão que pode evoluir rapidamente para se tornar um tumor maligno. Muitas vezes é precedida por metaplasia que é uma transformação de um tipo de epitélio para outro de modo a adaptar-se a condições adversas.

Características

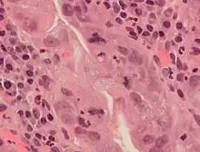
A displasia é essencialmente uma desespecialização do tecido, ele fica mais imaturo e afasta-se do aspeto normal. É frequente que no microscópio seja possível observar em uma displasia:
- Pleomorfismo celular (células com tamanhos e formas diferentes entre si)
- Atipia nuclear (células com núcleo irregular) com hipercromatasia (núcleo mais escuro que indica que o tecido está com alta atividade proliferativa)
- Perda da arquitetura normal do tecido (p. ex.: glandulas irregulares e dismórficas)
- Pseudoestratificação ou estratificação completa de epitélios simples (em monocamada)
- usualmente com perda de polaridade celular, na qual os núcleos podem estar tanto orientados perto do pólo basal como do apical ou ao centro)
- Aumento da relação núcleo/citoplasma (núcleo maior e ou citoplasma mais pequeno)
- Presença de nucléolo quando não é normal naquele tecido tê-lo visível (é um sinal forte de indiferenciação celular também)
- Células binucleadas (é mais raro acontecer, mas deve-se a mitoses muito frequentes aumentando a hipótese de haverem erros na replicação celular)
A displasia pode ter outras caraterísticas específicas para um tecido ou para outro, mas estas são as caraterísticas principais mais comuns à maioria dos tecidos.
Causas
São as mesmas causas de tumores/cancros pois antes de serem tumores a esmagadora maioria passa por uma fase de displasia. No entanto as causas mais comuns são:
- Tabaco
- Álcool
- Helicobacter Pylori
- Produtos químicos cancerígenos
- Genéticas/hereditárias (muitas vezes congénitas)
- HPV e outros vírus cancerígenos
- Cirurgias de recessão parcial do estômago (iatrogenia)
Níveis de displasia
Lesão celular reversível desencadeada por fatores irritantes crónicos. Sua alteração pode acontecer na forma, tamanho ou organização de um determinado tecido ou epitélio, podendo variar em três níveis:
- Displasia de baixo grau
- Displasia de alto grau
Quando atinge o nível de alto grau chama-se também carcinoma in situ, que é uma forma precoce de cancro, essencialmente já tem capacidade de invasão mas está ainda em estádio precoce, reduzido à mucosa (no estadiamento TNM, esta lesão é tis).
Os níveis diferem-se com base no quão diferente o tecido está diferente do original, havendo fatores dos supradescritos que são mais preponderantes que outros (como perda de arquitetura tecidular, p. ex.). Há técnicas de imuno-histoquímica (IHQ) que permitem calcular o índice proliferativo com o Ki-67 ou então verificar se genes tumorais estão mutados ou ausentes. Estas técnicas de IHQ, o tipo tumoral, e o estadiamento tumoral, permitem calcular o prognóstico desta lesão.
Tipos
A displasia pode estar em praticamente todos os epitélios depois de uma certa carga de agressão tecidular. Mas dentro das displasias de etiologia genética mais conhecidas estão:
- Displasia da bacia
- Displasia coxofemoral
- Displasia mamária
- Displasia do colo do útero
- Displasia fibromuscular
- Displasia tanatofórica
- Displasia dentinária
- Displasia óculo-aurículo-vertebral
- Displasia condroectodérmica
- Displasia faciogenital
- Displasia cromossómica parcial
- Displasia esquética
- Displasia cervical
- Displasia ectodérmica
- Displasia cortical focal
- Displasia fibrosa
- Displasia diastrófica
Geralmente seus tratamentos são medicamentosos, cirúrgicos e fisioterapêuticos ou então por suspensão do fator etiológico. [2]
Rastreio e Diagnóstico
O rastreio mais importante para displasias é o teste de Papanicolau, que se faz em Portugal a todas as mulheres de anos a anos, e que avalia a displasia e a presença de coilócitos indicativos de infeção por HPV.
O diagnóstico é feito essencialmente depois de haverem suspeitas de neoplasia ou displasia e de se fazerem biópsias ou citologias.
Referências
- Kowalski, L. P. et al: Displasia fibrosa de ossos do crânio e da face. 1984
- BRASILEIRO FILHO, G. et al. Bogliolo Patologia. 6.ed. Rio de Janeiro; Guanabara Koogan, 2000. 1328p.