Adenoma pleomórfico
Adenoma pleomórfico ou tumor misto é o tumor das glândulas salivares mais frequente, sendo mais comum na glândula parótida. Representa cerca de 53% a 77% dos tumores de parótida, 44% a 68% dos tumores da glândula submandibular e 33% a 43% dos tumores de glândula salivar menor. Os adenomas pleomórficos são derivados de uma mistura de elementos ductais e mioepiteliais. Aparecem normalmente por volta dos 40 anos, sendo apenas um pouco (20%) mais frequentes em mulheres.[1]
| Adenoma pleomórfico | |
|---|---|
![]() Adenoma pleomórfico | |
| Especialidade | oncologia |
| Classificação e recursos externos | |
| CID-10 | D11 |
| CID-9 | 210.2 |
| CID-ICD-O | 8940/0 |
| CID-11 | 1856218901 |
| OMIM | 181030 |
| eMedicine | radio/531 |
| MeSH | D008949 |
Adenoma significa que é um tumor benigno de glândulas e pleomórfico se refere sua marcada diversidade ao microscópio entre tumores, bem como em diferentes áreas de um mesmo tumor. Embora o padrão tumoral básico seja altamente variável, raramente as células individuais são realmente pleomórficas. De forma semelhante, embora o tumor geralmente tenha um componente estromal proeminente semelhante ao mesênquima, ele não é verdadeiramente uma neoplasia mista, pois não é derivado de mais de uma camada germinativa.
É um tumor benigno, mas raramente sofre um processo de malignização.
Sinais e sintomas


O tumor geralmente é solitário e apresenta um crescimento lento, indolor de uma massa nodular única. Geralmente é móvel ao menos que seja encontrado no palato.
Independentemente do sítio de origem, o adenoma pleomórfico tipicamente se apresenta como um aumento de volume firme, indolor e de crescimento lento. O paciente pode ter notado a presença há muitos meses ou anos antes de procurar um diagnóstico. O tumor pode ocorrer em qualquer faixa etária, mas é mais comum em adultos jovens e em adultos de meia-idade entre as idades de 30 e 60 anos. O adenoma pleomórfico é também o tumor de glândula salivar menor primário mais comum que se desenvolve na infância. Há uma discreta predileção pelo sexo feminino.
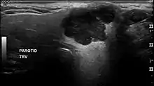
A maioria dos adenomas pleomórficos da glândula parótida ocorrem no lobo superficial e se apresentam como um aumento de volume sobre o ramo da mandíbula à frente da orelha. A dor e a paralisia do nervo facial são raras. Inicialmente, o tumor é móvel, mas torna-se menos móvel com seu crescimento. Se negligenciada, a lesão pode crescer até atingir proporções grotescas. Cerca de 10% dos tumores mistos da parótida desenvolvem-se no lobo profundo da glândula, abaixo do nervo facial. Algumas vezes estas lesões crescem medialmente, entre o ramo ascendente e o ligamento estilomandibular, resultando em um tumor com formato de haltere, que se apresenta como um aumento de volume na parede lateral da faringe ou no palato mole. Em raras ocasiões, os adenomas pleomórficos bilaterais têm sido relatados, desenvolvendo-se num padrão sincrônico ou metacrônico. O palato é a localização mais comum dos tumores mistos de glândula salivar, representando aproximadamente 50% dos exemplos intraorais. Esta localização é seguida pelo lábio superior (27%) e pela mucosa jugal (17%). Os tumores de palato quase sempre são encontrados na região lateral posterior do palato, apresentando-se como um aumento de volume de formato arredondado e de superfície lisa. Se o tumor for traumatizado, uma ulceração secundária pode ocorrer. Devido à natureza forte mente aderida da mucosa do palato duro, os tumores nesta localização não são móveis, embora os da mucosa labial ou da mucosa jugal frequentemente sejam.
Histologia
_parotid_gland.jpg.webp)
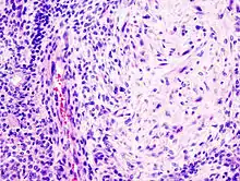
O adenoma pleomórfico é um tumor tipicamente encapsulado e bem circunscrito. Entretanto, a cápsula pode ser incompleta ou exibir infiltração por células tumorais. Essa falta de encapsulação completa é mais comum nos tumores de glândula salivar menor, especialmente ao longo da porção superficial dos tumores do palato, abaixo da superfície epitelial.
O tumor é composto de uma mistura de epitélio glandular e células mioepiteliais permeados por um fundo semelhante ao mesênquima. A proporção dos elementos epiteliais e do componente semelhante ao mesênquima é altamente variável dentre os diferentes tumores. Alguns tumores consistem quase inteiramente de um fundo “estromal.” Outros são altamente celulares com poucas alterações ao fundo.
Geralmente o epitélio forma ductos e estruturas císticas, ou pode ocorrer na forma de ilhas ou cordões celulares. As células escamosas produtoras de ceratina ou células produtoras de muco também podem ser vistas. As células mioepiteliais geralmente compõem uma grande porcentagem das células tumorais e exibem uma morfologia variável, podendo apresentar-se como células anguladas ou fusiformes. Algumas células mioepiteliais são arredondadas e possuem núcleo excêntrico e citoplasma eosinofílico hialinizado, lembrando plasmócitos. Estas células mioepiteliais plasmocitoides características são mais proeminentes nos tumores oriundos de glândulas salivares menores.
Acredita-se que as alterações características observadas no parênquima sejam produzidas pelas células mioepiteliais. Um extenso acúmulo de material mucoide pode ocorrer por entre as células tumorais, resultando em um aspecto mixomatoso. Nestas áreas, a degeneração vacuolar das células pode produzir uma aparência condróide. Em muitos tumores, o parênquima exibe áreas de alteração eosinofílica e hialinizada. Algumas vezes, podem ser vistos tecido gorduroso ou osteóide.
Ocasionalmente, os tumores de glândula salivar podem ser compostos quase inteiramente por células mioepiteliais, sem elementos ductais. Tais tumores geralmente são chamados mioepiteliomas, embora provavelmente representem um espectro final dos tumores mistos.
Tratamento e prognóstico
Os adenomas pleomórficos são mais bem tratados pela excisão cirúrgica. Para lesões localizadas no lobo superficial da glândula parótida é recomendada a parotidectomia superficial, com a identificação e preservação do nervo facial. A enucleação local deve ser evitada, pois o tumor pode não ser completamente removido ou porque a cápsula pode estar violada, resultando na permanência de células no leito tumoral. Para tumores localizados no lobo profundo da parótida, a parotidectomia total geralmente é necessária, se possível com a preservação do nervo facial. Os tumores submandibulares são mais bem tratados pela remoção total da glândula com o tumor. Os tumores do palato duro são geralmente excisados abaixo do periósteo, incluindo a mucosa sobrejacente. Em outros sítios orais, a lesão geralmente é enucleada facilmente através da incisão local.
Com a remoção cirúrgica adequada, o prognóstico é excelente, com uma taxa de cura de mais de 95%. O risco de recorrência parece ser baixo para os tumores de glândula salivar menor. A enucleação conservadora dos tumores da parótida resulta em recorrência, tornando a conduta desses casos dificultada pela disseminação no leito tumoral primário. Nesses casos, as múltiplas recorrências não são raras. Os tumores com aparência predominantemente mixoide são mais suscetíveis à recidiva do que aqueles com outros padrões microscópicos.
Uma complicação potencial é a transformação maligna, resultando em um carcinoma ex-adenoma pleomórfico. O risco de transformação maligna é pequeno, mas pode ocorrer em aproximadamente 5% de todos os casos.
Ver também
Referências
- «Adenoma Pleomorfo (tumor misto)». www10.uniovi.es. Consultado em 15 de outubro de 2017. Arquivado do original em 17 de novembro de 2017
Bibliografia
- Neville BW, Damm DD, Allen CM, Bouquot JE. Patologia oral & maxilofacial. 2 ed. Rio de Janeiro: Guanabara Koogan, 2008.
