Tumor de Warthin
Tumor de Warthin, Cistoadenoma linfomatoso papilar ou Cistoadenolinfoma é um tipo de tumor benigno das glândulas salivares. Cresce lentamente como uma massa firme e indolor na bochecha. Seu nome é uma homenagem ao patologista Aldred Scott Warthin, que descreveu dois casos desse tumor em 1929.[1]
| Tumor de Warthin | |
|---|---|
![]() Tumor de Warthin | |
| Especialidade | oncologia |
| Classificação e recursos externos | |
| CID-10 | D11 |
| CID-9 | 210.2 |
| CID-ICD-O | 8561/0, 8146/0 |
| CID-11 | 575484248 |
| DiseasesDB | 31941 |
| eMedicine | plastic/371 |
| MeSH | D000235 |
Causas
Sua etiologia é desconhecida, mas sabe-se que há uma forte associação com o tabagismo. Fumantes possuem 8,3 vezes mais chances de desenvolver o tumor, em comparação com a população não-fumante e a maioria fumou por mais de 20 anos.[2] Estudos indicam que exposição à radiação e distúrbios auto-imunes também podem estar associados ao tumor de Warthin.[3]
Sinais e sintomas
A glândula salivar afetada cresce lentamente como uma massa indolor firme e palpável. A glândula parótida é afetada em quase 90% dos casos e aocrescer pode comprimir o nervo facial causando paralisia de Bell. Em 5-14% dos casos o tumor é bilateral e em 12 a 20% dos casos os tumores são multíplos. Os tumores podem aparecer em momentos diferentes, afetar diferentes glândulas e ter tamanhos diferentes.[4]
Diagnóstico
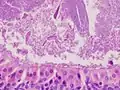
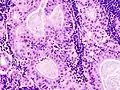
O diagnóstico é feito analisando a biópsia da glândula salivar afetada. Estes tumores são lesões bem encapsuladas com áreas císticas e sólidas. As células epiteliais oncocíticas estao dispostas em camadas duplas, que formam cistos, projeções papilares e tecido linfóide, muitas vezes com centros germinativos. O perfil imune dos linfócitos é semelhante ao dos linfonodos normais ou reativos.[5]
Epidemiologia
O tumor de Warthin geralmente aparece entre os 50 e os 70 anos. É 3 a 10 vezes mais comum em homens. O seu crescimento é lento, indolor e geralmente aparece na cauda da glândula parótida próximo ao ângulo da mandíbula. Embora muito menos provável de ocorrer que um adenoma pleomórfico, o tumor de Warthin é o segundo tumor mais comum de glândula parótida. É muito improvável que um tumor de Warthin se torne maligno.[6]
Tratamento
Enquanto o tumor não causar muito incômodo é possivel esperar para tratá-lo com remoção cirúrgica. As recidivas são raras, ocorrendo em 2% dos casos.[7]
Imagens adicionais
Histopatologia do tumor de Warthin em glândula parótida. Coloração H&E.
Histopatologia do tumor de Warthin em glândula parótida. Coloração H&E.
Histopatologia do tumor de Warthin em glândula parótida. Coloração H&E.
Referências
- Witt, Robert L., ed. (2005). "Chapter 9 "Benign tumors, cysts, and tumor-like conditions of the salivary glands". Salivary Gland Diseases: Surgical and Medical Management. New York: Thieme Medical Publishers. p. 123. ISBN 1-58890-414-8.
- Kumar V, Abbas AK, Fausto N (2005). Robbins and Cotran pathologic basis of disease, 7 Ed. St. Louis, MO: Elsevier Saunders. ISBN 0-7216-0187-1
- Scott A Laurie, MD, FRCPC. Salivary gland tumors: Epidemiology, diagnosis, evaluation, and staging. UpToDate. September 2013; Accessed 9/8/2015.
- Sanford Dubner, MD. Benign Parotid Tumors. Medscape Reference. March 2015; http://emedicine.medscape.com/article/1289560-overview#showall.
- Afshin Teymoortash (2008). Salivary gland tumors: Warthin's tumors. Atlas of Genetics and Cytogenetics in Oncology and Haematology. Disponível em: http://atlasgeneticsoncology.org/Tumors/WarthinsTumID5424.html
- https://rarediseases.info.nih.gov/diseases/8569/warthin-tumor#ref_9605
- Iwai T, Baba J, Murata S, Mitsudo K, Maegawa J, Nagahama K, Tohnai I. Warthin tumor arising from the minor salivary gland. J Craniofac Surg. September 2012; 23(5):374-376.
