Ceratocisto odontogênico
Ceratocisto Odontogênico (CO) ou Queratocisto Odontogênico (QO) é um cisto benigno, mas localmente agressivo. Acredita-se que sua origem esteja na lâmina dentária e afeta comumente a mandíbula posterior. Está associado com a Síndrome de Gorlin.
| Ceratocisto odontogênico | |
|---|---|
![]() Ceratocisto odontogênico | |
| Classificação e recursos externos | |
| CID-10 | K09.0 |
| CID-9 | 526.0 |
Etiologia
Há uma concordância geral de que o ceratocisto odontogênico surge a partir dos restos celulares da lâmina dental, e seu crescimento parece estar relacionado a fatores desconhecidos, inerentes ao próprio epitélio (que sofre múltiplas mitoses) ou à atividade enzimática na parede cística. Atualmente estudos mostram uma associação com a mutação ou a inativação do gene PTCH1, o qual ativa a via de sinalização SHH.
Nomenclatura
O Queratocisto Odontogênico foi inicialmente descrito por Philipsen em 1956 e classificado como um cisto de origem odontogênica. Esta lesão foi recentemente renomeada para Tumor Odontogênico Queratocístico (TOQ) e reclassificada como um neoplasma odontogênico benigno pela Organização Mundial da Saúde (OMS), em 2005 (CHILVARQUER, et al., 2015). No entanto, em 2017, o tumor odontogênico foi reclassificado como cisto, o Queratocisto Odontogênico (QO). O consenso, na reunião, é de que não existe evidências suficientes para mantê-lo na classificação de neoplasias. Em 2005, foram considerados determinantes fatores como: crescimento agressivo, recorrência e, principalmente, mutações no gene PTCH. Todavia, embora tenha havido uma mudança radical na compreensão da patogênese molecular dos tumores, atualmente, a neoplasia continua a ser definida pelo seu fenótipo clínico em todos os dicionários médicos.
Quase todas as definições incluem o conceito de autonomia, em que o tumor continua a evoluir depois que o estímulo que se produziu é removido. Neoplasias não regrediriam espontaneamente, no entanto, existem relatos de que QOs que involuíram completamente após descompressão. Inclusive, o revestimento de muitas lesões, após esse procedimento, parece mais com células da mucosa bucal do que QOs, microscopicamente. Wright e Vered (2017) enfatizam que o consenso não diz necessariamente que QOs não são neoplásicos, mas se acredita que ainda faltam evidências para justificar a permanência dessa patologia como um tumor (OLIVEIRA, et al., 2013).
Características Clínicas
Clinicamente o Tumor Odontogênico Queratocístico (TOQ) é definido como um tumor intra-ósseo, uni ou multicístico, podendo ocorrer em qualquer região dos maxilares. Pode sobrepor aos ápices dentários, imitando lesões periapicais, ou estando adjacente às coroas dos dentes impactados. Na maioria dos casos, a lesão acomete pessoas na segunda, terceira ou quarta décadas de vida (pessoas com 20, 30 ou 40 anos) e, acomete em pequena prevalência, mais o gênero masculino.
O local mais acometido de incidência desta lesão é na região posterior a mandíbula, podendo afetar corpo, ramo e ângulo. O principal sintoma é um aumento de volume na região, com ausência de sintomatologia álgica. Geralmente devido essas características assintomáticas, o diagnóstico inicial é dado por imagens radiográficas (CHILVARQUER, et al., 2015).
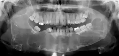
Características Radiográficas
Radiograficamente, exibem uma área radiolúcida, apresenta-se como uma rarefação óssea uni ou multiocular, com bordas escleróticas frequentemente bem definidas, podendo ou não estar associadas com um dente impactado e, geralmente essa lesão possui uma discreta predileção de crescimento anteroposterior. Geralmente são analisadas radiografias panorâmicas e tomografia computadorizada, pois a radiografia panorâmica fornece, com qualidade, a extensão da lesão cística e sua relação com estruturas adjacentes, no entanto a tomografia computadorizada tem indicação indispensável para o planejamento cirúrgico, apresentando detalhes preciosos sobre a expansão da lesão, a localização de dentes envolvidos e a topografia de suas margens (espessura e perfuração das corticais ósseas)do que as radiografias convencionais. O uso racional indica tomografias computadorizadas somente para lesões extensas. O CO, pode muitas vezes ser confundido com cisto dentígero por em 44% dos casos está associado com dentes inclusos, porém observa-se também menos comum que o radicular, reabsorção óssea das raízes dos dentes adjacentes, normalmente ocorre um deslocamento do dente e não reabsorção da raiz. É importante salientar que apenas o diagnóstico histopatológico é determinante.
Características Histopatológicas
Sabendo-se que o diagnóstico pré-operatório não pode ser estabelecido definitivamente sem suporte histopatológico, a primeira etapa é realizar uma biopsia incisional do ceratocisto que tem a finalidade de estabelecer diagnóstico conclusivo. O corte histopatológico apresenta epitélio estratificado pavimento ceratinizado uniforme, com espessura variando entre 6 - 8 camadas de células, camada basal bem definida disposta em paliçada formada por células colunares ou cuboidais, cápsula fibrosa fina e friável, rica em mucopolissacarídeos, sendo as células inflamatórias raras. A camada de ceratina pode ser representada pela paraceratina (80% dos casos) ou pela ortoceratina (20%), sendo a primeira muito mais fina quando comparada a segunda.
Histologia com ampliação intermediária de um ceratocisto odontogênico.
Histologia com muita ampliação de um ceratocisto odontogênico.
Histologia com ampliação intermediária de um ceratocisto odontogênico.
Diagnóstico
A Tomografia Computadorizada de Feixe Cônico (TCFC) é um excelente instrumento de planejamento cirúrgico e diagnóstico, no entanto, assim como as imagens radiográficas em geral apenas sugerem um diagnóstico diferencial e precisam ser sempre complementadas com um exame clínico e na maioria dos casos de uma análise histopatológica. Por esse motivo, somente a análise dos achados radiográficos, devido aos aspectos similares de imagem, permite o estabelecimento de outras hipóteses, como:
- cisto dentígero
- cisto radicular
- cisto residual
- cisto periodontal lateral ou do denominado cisto globulomaxilar (que não é mais considerado como uma entidade verdadeira).
- lesão central de células gigantes
A habilidade profissional na realização do processo de diagnóstico é essencial para o sucesso e qualidade de vida do paciente. Bem como, a correta aplicação das novas tecnologias de imagem, como a TCFC, apresenta-se crucial para o exercício de diversas especialidades.
Tratamento e Prognóstico

A maioria dos COs é tratado de forma similar a outros cistos odontogênicos, ou seja, através da enucleação e curetagem, além de descompressão em grandes lesões. A remoção completa em uma única peça frequentemente é difícil devido à natureza delgada e friável de sua parede cística. Pelo TOQ possuir uma alta taxa de recidiva há certa discussão acerca do melhor tipo de tratamento (CHILVARQUER, et al., 2015). Por isso, são associados tratamentos de prevenção de recidiva, tais como, cateurização química da cavidade óssea com solução de Carnoy após remoção do cisto, marsupialização, crioterapia que segundo Pogrel (2001) devido a capacidade do nitrogênio líquido de desvitalizar osso in situ e manter a estrutura inorgânica intacta, a crioterapia pode ser utilizada para lesões localmente agressivas nos maxilares. Entretanto, em decorrência da dificuldade em controlar a quantidade de nitrogênio líquido aplicada à cavidade, a necrose resultante e o edema podem ser imprevisível, por isso não é uma prática tanto utilizada. Por ser uma lesão que pode recidir, é importante que o paciente seja acompanhado semestralmente ou anualmente. Determina-se um período de cinco anos, no entanto há casos de recidivas 40 anos após remoção do cisto original, por isso é importante que o paciente faça anualmente uma radiografia para revisão, por tempo indeterminado.
Síndrome de Gorlin-Goltz
Pacientes com COs devem ser avaliados para manifestações da síndrome do carcinoma nevóide basocelular (síndrome de Gorlin) se o paciente estiver na primeira ou segunda década de vida ou se múltiplos ceratocistos forem identificados. A Síndrome de Gorlin, caracteriza-se por múltiplos carcinomas basocelulares na pele, COs, calcificações intracranianas e anomalias das costelas e das vértebras, o que resulta na importância de solicitar exames adicionais.
Bibliografia
- Patologia oral & maxilofacial / Brad Neville... [et al.] ; [tradução Danielle Resende Camisasca Barroso... et al.]. — Rio de Janeiro : Elsevier, 2009.
- WHO Classification of Head and Neck tumours, 2017.Adel K. El-Naggar et al. 4ed. International Agency for Research on Cancer
- CHILVARQUER, I, et al. Relato de caso clínico: tumor odontogênico queratocistico. 2015. Disponível em: < http://revodonto.bvsalud.org/scielo.php?script=sci_arttext&pid=S0004-52762015000200002>. Acesso em: 14 jun. 2022.
- TOLENTINO, E. Nova classificação da OMS para tumores odontogênicos: o que mudou?. 2018. Disponível em: < https://fbb0f4cc-9049-466e-9920-f89a56fa01d8.filesusr.com/ugd/31b17c_bca461c70c504a9c9c50b8bd1aadca04.pdf>. Acesso em: 14 jun. 2022.

